전체메뉴열기

대장·항문, 하지정맥류 센터

대장·항문클리닉

scroll down

대장이란?

큰창자(대장)는 전체 길이가 약 150cm인 관모양의 장기이다. 막창자(맹장), 막창자꼬리(충수), 잘록창자(결장), 곧창자(직장) 및 항문관으로 구성된다. 대장은 보통 세균에 의해 분해된 가스로 차 있으며 음식물의 분해 과정에는 참여하지 않고 수분을 흡수하고 소화되지 않는 음식물을 저장, 배설하는 역할을 한다. 대장에 살고 있는 정상세균총에서 생산하는 비타민을 흡수하기도 한다.

위치

복부 가운데 부위를 중심으로 복강 속을 한 바퀴 돌듯이 주행한다.

하위기관

  • 막창자 : 돌창자(회장)와 잘록창자가 연결되는 부위, 오른쪽 아랫배에 위치, 충수돌기와 연결됨.
  • 잘록창자 : 대부분의 큰창자가 속하는 부위, 좁은 의미의 큰창자, 오름잘록창자(상행결장), 가로잘록창자(횡행결장), 내림잘록창자(하행결장), 구불잘록창자(S상결장)으로 나뉨.
  • 곧창자 : 길이 15cm, 구불잘록창자, 항문관과 연결됨.

형태/구조

1.5m 길이의 관 모양 장기로 작은창자부터 항문관까지를 말하며 복강의 대부분을 차지하는 소화기계 장기이다. 큰창자의 바깥근육층은 세 개의 잘록창자띠(결장뉴) 때문에 두꺼워져 있는데, 이는 막창자와 오름잘록창자에서 뚜렷이 보인다. 큰창자는 주머니 모양의 잘록창자팽대로 인해 특징적인 형태를 가진다.

대장 형태 구조 이미지

기능

위장관은 섭취한 음식물을 사람이 필요로 하는 영양소로 바꾸고 이를 흡수하는 역할을 한다. 다시 말해, 위장관의 기능은 소화(소화 운동, 소화액 분비)와 흡수로 나뉜다. 소화란 많은 효소들이 단백질, 지방, 탄수화물을 분해하고 장점막을 통해 흡수하는 과정을 의미하는데, 대부분의 영양소는 소장에서 흡수된다. 큰창자에서는 나머지 영양소와 수분의 흡수가 이루어지며 큰창자 내 세균에 의한 발효와 분해과정이 이루어진다. 발효와 분해 과정에서 생성된 탄산가스와 산성종말산물, 수소, 메탄 및 독성 아민 등으로 대변이 만들어진다.

또한 큰창자의 운동은 팽기수축에 의하여 일어나며 분절운동(수축과 이완이 주기적으로 발생하여 음식물이 섞이는 데 도움을 줌)과 추진성 연동운동(수축에 의해 음식물이 섞이고 장을 통과함)으로 대변은 직장에 도달한다. 배변은 신경반사에 내림잘록창자, 구불잘록창자, 곧창자의 민무늬근이 수축하고 속항문조임근이 이완되면서 일어난다.

변비란?

변비로 병원을 찾는 환자들이 흔히 호소하는 증상은 배변횟수의 감소 혹은 배변곤란 등 다양하며 그 정의 또한 다양합니다. 배변횟수 만으로 보면 통상 하루 3회의 배변에서 일주일에 3회까지는 정상범위로 간주되며 대개 1주 2회 이내를 변비로 정의합니다. 그 외에도 25% 이상의 경우에 힘든 배변, 단단한 대변, 잔병감등을 호소하는 경우에도 변비로 보기도 합니다

원인

변비의 일반적인 원인으로는 식이성 섬유소 섭취의 부족을 생각할 수 있습니다. 우리나라의 경우, 식습관이 서구식으로 바뀌면서 식이섬유 섭취가 줄어들고 있습니다. 여성에서 변비가 휠씬 많은 이유로는, 여성의 황체호르몬(프로게스테론)이 장운동을 지연시키고 분만등에 의해서 골반저근육이 약화되기 때문입니다. 고령이 되어 변비가 증가하는 이유는, 음식물 섭취의 감소, 운동량의 감소, 복근과 골반근의 약화 등이 원인입니다.고령이 되어 변비가 증가하는 이유는, 음식물 섭취의 감소, 운동량의 감소, 복근과변비의 일반적인 원인으로는 식이성 섬유소 섭취의 부족을 생각할 수 있습니다. 우리나라의 경우, 식습관이 서구식으로 바뀌면서 식이섬유 섭취가 줄어들고 있습니다. 여성에서 변비가 휠씬 많은 이유로는, 여성의 황체호르몬(프로게스테론)이 장운동을 지연시키고 분만등에 의해서 골반저근육이 약화되기 때문입니다. 고령이 되어 변비가 증가하는 이유는, 음식물 섭취의 감소, 운동량의 감소, 복근과 골반근의 약화 등이 원인입니다.

변비의 또 다른 많은 원인은 배변 욕구의 억제입니다. 특히 학생이나 직장인들이 아침 등교나 출근 시간에 쫓겨 배변 욕구를 억지로 참게 되는 일이 반복되다 보면 자연스런 배변 욕구가 사라지게 되어 변비가 생기게 되는 것입니다. 운동부족도 변비의 한 원인으로 생각할 수 있습니다. 이외에도 여러 약제(일부 고혈압제제, 칼슘제제, 제산제 등)들과 척추 손상, 우울증, 변비약 남용 등등이 변비의 원인이 될 수 있습니다.

변비 원인 이미지

진단

  • 직장 및 대장내의 대변의 통과를 막는 암이나 용종, 게실, 염증성 장 질환 등을 발견하기 위한 가장 기본적인 검사입니다.
  • 대장의 시발점인 맹장에서 항문까지 도달하는 시간을 측정하는 검사로 장이 정상적으로 운동하는지 확인합니다.
  • 대장통과 시간이 정상이라도 항문에서 대변이 배출되지 않는 여러 가지 질환을 찾아내기 위해 인공대변을 주입하여 대변을 보게 하면서 X선 사진을 찍는 검사입니다.
  • 골반저와 항문주위에서 항문의 개폐를 조절하는 근육들과 그 근육들을 지배하는 신경의 기능을 검사합니다.
  • 대변의 마지막 관문인 항문 괄약근의 압력과 감각기능을 측정하는 방법입니다.

치료

가장 중요한 측면은 먼저 정확한 진단입니다. 자가진단만으로 혹은 매일 변을 보아야 한다는 강박관념에서 상습적으로 자극적인 하제를 상용하는 것은 대장의 무력증을 초래하여 궁극적으로 대수술을 피할 수 없는 경우도 많습니다.

항문 주변의 근육 및 신경계통의 부조화에 의한 배변장애의 경우 또한 자가진단 및 노력으로 악화되어 회음부하강증, 불완전직장탈, 직장점막탈 등의 상태를 초래하여 치료를 더욱 어렵게 하는 경우도 많습니다. 먼저 어떠한 것이 원인이 되어 변비가 되었는지 먼저 알고 거기에 맞게 적절한 치료를 해야 한다는 점은 아무리 강조해도 부족함이 없습니다.

과민성대장증후군

과민성 장 증후군이란 대장암, 궤양성 대장염 등 특별한 질환이 없이 만성적으로 대장 기능에 이상 징후가 보이는 질환을 말한다. 주로 20대에서 40대에 걸쳐 잘 나타나는 질환이며, 60대 이상에서는 잘 찾아볼 수 없다. 우리나라의 경우 전체 인구의 약 10%가 이 증상으로 고통을 받고 있는 것으로 알려져 있다. 남성과 여성을 비교해 봤을 때 대개 1:1.5 정도로 여성에게 많은 질환이며, 남성은 설사형이 많은 반면 여성은 변비형이 많다.

  • 과민성 장 증후군의 역학
    • 01. 과민성 장 증후군은 임상에서 흔히 볼 수 있는 질환이다.(구미서는 소화기과에서 20-60%를 차지)
    • 02. 과민성 장 증후군의 잠재환자는 많지만, 실제로 진료를 받는 사람은 적다.
    • 03. 남성 환자수 < 여성 환자수
    • 04. 남성 환자는 설사형, 여성 환자는 변비형이 많다.

유형

  • 설사형
  • 변비, 설사 교체형
  • 점액형
  • 가스형

증상

  • 복통

    복통은 아랫배가 전체적으로 아프다는 사람도 있지만 보통은 좌하복부가 집중적으로 아픈 경우가 많으며 우하복부 통증도 흔하다. 식사 직후나 용변을 보기 전에 특히 많이 아프며 배변을 하고 나면 씻은 듯이 가라앉는다.

  • 설사

    설사가 계속 반복되어 이대로 가면 죽을 것 같은 심정이 들지만 체중은 줄어들지 않는 것이 이 질환의 특징이고 실제로 과민성 장 증후군으로 사망한 사례는 없다.

  • 기타

    권태감, 불면증, 어깨 결림 등을 호소하는 경우도 있고, 기타 정서장애(등교 거부, 공황장애) 등의 합병증을 동반할 수도 있다. 이 밖에도 토끼 똥 같은 변이 나오거나, 점액이 배출되기도 하고 잔변감, 가스로 인한 복부 팽만, 방귀와 잦은 트림 등의 증상이 있다.

과민성대장증후군 증상 이미지

진단

일단 진단은 설사와 변비, 복통 증세에 대하여 진찰한다. 그리고 다른 대장질환이 없다는 것을 확인해야 한다. 그래서 혈액검사, 잠혈반응검사, S상결장경검사, 대장내시경, 대장조영술, 유당 내성 검사 등 많은 검사를 해야 한다.

과민성대장증후군 진단 이미지

치료

  • 식사요법

    고섬유식을 하는 것으로도 큰 효과가 있다. 야채는 날로 먹어도 좋지만 국이나 찌개 등 삶아 먹는 것이 많은 양을 먹을 수 있어서 유리하다. 장내 가스가 많이 차는 음식물을 삼간다. 즉 탄산음료, 흡연, 껌, 빠른 식사, 고지방 식사, 우유를 삼간다.

  • 생활요법

    규칙적인 생활, 규칙적인 배변습관(특히 아침식사 후), 규칙적인 수면을 하도록 한다.

  • 운동요법

    산보, 체조 등의 적당한 운동과 복식호흡을 한다.

  • 약물요법

    복통이 있으면 장관운동을 억제하는 평활근 이완제를 쓴다. 설사를 하면 로페라미드 등 지사제를 사용하고, 세로토닌계 항우울제 등도 도움이 되는 경우가 있다.

과민성대장증후군 치료 이미지

대장용종이란?

대장용종이란 대장폴립이라고도 하며 대장 점막의 일부가 주위 점막 표면보다 튀어나와 마치 혹처럼 형성된 것을 말합니다. 이러한 대장용종은 상당히 흔한 질환은로 대장내시경 검사상 우리나라 성인의 약 30%정도까지 발견되는 것으로 보고되고 있습니다.

대장용종의 종류는?

대장용종은 현미경적 소견에 따라 선종, 증식성 용종, 염증성 용종, 과오종 등으로 나눌 수 있는데 이중 선종이 암으로 발전할 가능성이 있습니다. 즉, 선종은 대장암의 전단계로 반드시 제거가 필요합니다.

그런데 만약 대장내시경 검사에서 용종이 발견된다면 육안으로는 이 용종이 선종인지 확실하게 알 수 없기 때문에 용종을 절제하여 조직검사를 해 보는 것이 좋습니다.

대장용종 이미지

대장용종관련 안내

  • 대장암의 원인이 되는 선종성 대장용종이 빠르게 늘고 있는 이유는 무엇인가요?

    대장암의 원인이 되는 선종성 대장용종의 발생원인은 육식 및 고지방식, 비만, 음주, 흡연, 염증성장질환, 담즙신의 과다분비, 유전 등 아주 많지만, 가장 큰 이유는 생활습관이 서구화되면서 야채보다는 육식을 많이 섭취하기 때문입니다. 즉 섬유질이 적은 인스턴트식품과 육류를 많이 섭취하므로 대변의 양이 적어지고 변의 장 내 통과시간이 길어짐으로 암 발생이 많아진다고 생각됩니다. 그리고 대장암은 10-20%정도에서 유전적인 성향이 있기 때문에 주위 가족분들에게서 대장암이 있을 경우 본인은 꼭 대장내시경 검사를 통해 대장암의 발생 유무를 체크하셔야 합니다.

  • 대장내시경 검사를 받으면 대장용종을 쉽게 발견하고 치료할 수 있나요?

    대장내시경 검사를 해보면 특별한 증상이 없더라도 대장용종이 발견되는 경우는 생각보다 훨씬 많으며 대장내시경으로 즉시 제거가 됩니다. 즉 40대 이상의 건강한 성인 남녀에서 대장 내시경검사를 해보면 30%이상에서 대장용종이 발견될 정도입니다. 이러한 대장용종은 방치할 경우 크기가 커지고 시간이 지나면 악성화 되어 대장암으로 발전할 수도 있으므로 반드시 제거하는 것이 좋습니다. 그러므로 주기적인 건강검진을 통해 대장용종만 제때 제거해도 대장암을 대부분 예방할 수 있습니다.

  • 대장내시경 검사를 받거나 대장용종 절제술을 할 경우 천공이나 출혈의 위험성은 얼마나 되나요?

    진단을 위한 대장내시경 검사에서 천공이나 출혈이 생길 확률은 만명중 1-2명 정도로 매우 드뭅니다. 그러나 대장용종이 있어 대장용종을 절제하는 수술을 하는 경우 절제부위에서 1000명당 3-5명 정도로 드물게 출혈이나 장 천공이 발생할 수 있습니다. 출혈은 대개 용종 절제 후 바로 발생하나, 10일이나 2주 정도 후에도 나타나는 지연성 출혈이 있을 수 있기 때문에 용종절제술후 음주나 무리한 운동, 사우나, 자극적인 음식이나 매운 음식은 2주정도 피하시는 것이 좋습니다.

    천공은 수 시간에서 수십 시간 내에 발생되며, 용종절제술시 출혈을 막기 위해서 전기를 사용하여 조직을 태우면서 절제하기 때문에 발생합니다. 그러므로 보통 큰 용종을 절제하는 경우에는 하루정도 병원에 입원하여 항상제와 지혈제 치료를 하면서 복통 등이 생기는지 관찰해 보는 것이 중요합니다.

    천공은 수 시간에서 수십 시간 내에 발생되며, 용종절제술시 출혈을 막기 위해서 전기를 사용하여 조직을 태우면서 절제하기 때문에 발생합니다. 그러므로 보통 큰 용종을 절제하는 경우에는 하루정도 병원에 입원하여 항상제와 지혈제 치료를 하면서 복통 등이 생기는지 관찰해 보는 것이 중요합니다.

    대장용종절제술 과정 대장용종절제술 과정 이미지
  • 대장내시경으로 발견되는 용종이 모두 암으로 발전하나요?

    앞서 설명하였듯이 대장용종의 여러 종류중 선종이 대장암으로 진행하는데 그 기간은 약 3-7년 정도 경과된다고 보고되고 있으며, 크기가 커질수록 진행속도가 빨라집니다. 그리고 용종의 크기가 1cm 미만일 때는 암발생률이 1%이하이지만 크기가 2cm 이상인 경우는 암이 35%정도에서 발생한다고 합니다. 특히 선종으로 의심되는 용종은 대장암의 전 단계이기 때문에 반드시 용종 절제술을 받아야 합니다.

  • 용종을 절제한 이후 대장내시경을 얼마 만에 받아야 하나요?

    용종 절제술 이후에는 정기적인 대장 내시경 검사를 받아야 합니다. 특히 선종성 용종의 경우 30%까지 재발하는 것으로 보고되고 있기 때문에 선종과 같은 대장암과 연관이 있는 대장용종을 절제한 분들은 보통 일 년후에 대장내시경검사를 다시 받아 재발유무를 확인하는 것이 좋습니다. 또 대장내시경 검사상 선종외의 용종이 있었던 경우는 2년내에, 그리고 특별한 이상이 없었던 경우에는 3-5년 정도 내에는 다시 대장내시경 검사를 받아보는 것이 좋습니다.

  • 대장용종이 발생하지 않게 하는 예방법이 있나요?

    대장용종의 예방을 위해서는 식생활 개선이 중요합니다. 즉 육식과 동물성 지방이 대장용종 발생의 주요한 원인이기 때문에 육류 대신 과일, 채소, 현미, 콩, 미역, 다시마 등 섬유질이 많은 음식물을 섭취하는 것이 좋습니다. 또한 절주와 금연, 규칙적인 운동과 같은 건강한 생활습관을 병행하는 것이 대장용종을 예방하는 지름길입니다. 그러나 더욱 중요한 점은 대장암이 발생하기 전 단계인 대장용종을 미리 발견해 제거하면 대장암 발생을 예방할 수 있으니 40대 이상부터는 주기적인 대장내시경 검사를 통해 대장용종을 제거하는 것이 무엇보다 중요하다고 할 수 있습니다.

궤양성 대장염

궤양성 대장염은 대장에 일어나는 만성적인 염증성 장질환의 일종으로 대장점막에 다발성으로 궤양이 생기며, 대장점막이 충혈되면서 복통, 설사, 점액배출, 장출혈의 증상을 일으키는 질환입니다. 우리나라에서 궤양성 대장염은 드문 질환으로 유병률과 발병률에 대한 통계자료는 없으나, 최근 식이습관의 서구화와 동반하여 환자수가 점차 증가하고 있습니다.

원인

궤양성 대장염의 원인은 아직까지 명확하게 알려져 있지는 않습니다. 연구자들에 의하면 본인의 체내에서 생성된 항상피항체가 장점막세포를 파괴한다는 자가면역기전이나, 외부에서 침입한 바이러스에 의한 원인, 섭취하는 음식에 의한 식이성 요인, 여성의 경우 경구피임제와의 연관, 정신적인 스트레스 등을 가능한 원인으로 제시하고 있지만, 아직 확실한 것은 없습니다. 따라서 현재로서는 유전적 요인, 환경적 요인, 면역학적 요인 등이 복합적으로 작용한다고 추정하고 있습니다.

증상 및 대장암과의 연관성

궤양성 대장염은 증상이 거의 없는 환자부터 급성으로 매우 심한 증상을 나타내는 환자까지 다양합니다. 가장 대표적인 증상은 복통과 설사, 점액변, 혈변 등이며, 궤양성 대장염과는 다른 염증성 장질환의 일종인 크론병에서 흔한 장폐쇄, 장누공, 항문통증, 항문부종, 항문의 분비물 등은 흔하지 않습니다. 궤양성 대장염이 심하거나 오래되는 경우에는 식욕부진, 체중감소, 빈혈 등의 증상도 나타날 수 있습니다.

궤양성 대장염이 오래되는 경우에는 대장암이 발생할 위험이 있다고 알려져 있습니다. 대장암의 발생 위험도는 궤양성 대장염을 앓은 기간과 연관이 있어 25년에 25-30%, 30년에 35%, 35년에 45%, 40년에 65%로 기간이 길어질수록 높아집니다. 궤양성 대장염에서 생긴 암의 특징은 암이 다발성으로 발생하는 경향이 있고, 암세포의 침윤이 흔하고 경화성 암이라는 것입니다. 따라서 암이 대장의 안쪽으로 돌출되지 않고 대장벽을 따라 침윤되어 가끔은 내시경으로도 관찰이 되지 않는 경우도 있습니다. 또한 궤양성 대장염 환자에서 생긴 암은 전이가 잘되고 분화도가 나빠 예후가 좋지 않은 경우가 많습니다. 따라서 전대장에 걸쳐 병변이 있고, 7년이상 오래된 궤양성 대장염 환자들은 내시경 검사와 조직검사를 2년마다 하면서 대장절제술의 시기를 결정하는 것이 필요합니다.

진단

궤양성 대장염이 의심되는 증상을 보이는 환자에게는 대변 검사, 대장내시경 검사, 조직 검사, 바륨대장이중조영술 등의 여러 가지 검사를 시행하여 그 결과를 종합하여 진단을 내리게 됩니다. 이렇게 여러 가지 소견을 종합하여 판단할 경우 대개는 쉽게 진단이 내려지지만 간혹 다른 질환과 구분이 어려운 경우도 생길 수 있으며, 확실한 진단을 내리기까지 경과 관찰이 필요한 경우도 있습니다. 특히 세균성 이질 등과 같은 급성 감염성 대장염은 급성으로 발병한 궤양성 대장염과 증상이나 내시경 소견이 매우 유사하므로 진단을 위해서는 경과관찰을 필요로 합니다. 또한 궤양성 대장염은 염증성 장질환의 다른 종류인 크론병과 약 10%의 경우에 잘 구분이 되지 않습니다.

치료

궤양성 대장염의 치료는 내과적 치료와 외과적 치료로 나눌 수 있습니다. 외과적 치료보다는 내과적 치료가 우선적인 원칙이지만, 내과적 치료에도 불구하고 증상이 계속 심해지거나, 독성 거대결장, 천공, 출혈, 대장암이 발생하는 경우 등에는 수술을 해야 합니다.

  • 내과적 치료

    궤양성 대장염 환자들의 식이요법으로 중요한 것은 잦은 배변을 유발할 수 있는 음식, 즉 신 과일, 우유제품, 자극적인 양념이 많은 음식, 술, 커피, 섬유소가 많은 음식 등을 피하는 것입니다. 또한 정신적인 스트레스가 증상을 악화시키는 경우가 많기 때문에 이러한 것을 피하는 것도 중요한 치료가 됩니다. 궤양성 대장염에 대한 대표적인 약물치료로는 스테로이드, 비스테로이드성 소염제 (설파살라진), 면역억제제, 지사제 등이 있으며, 이들을 증상의 경중에 따라 사용합니다. 궤양성 대장염의 합병증인 독성거대결장이 발생한 경우에는 심한 복통과 발열이 동반되는데, 이러한 경우에는 금식을 하고, 수액제를 정맥내로 주입하며, 단백질 보충, 수혈, 스테로이드 등을 사용하게 되며 필요에 따라서는 수술을 시행하기도 합니다.

  • 외과적 치료

    궤양성 대장염 환자에서 수술이 필요한 경우는 약 20%정도 입니다. 수술방법은 상황에 따라 여러가지가 있으나 가장 일반적인 방법은 전대장절제술을 시행한후 소장을 이용하여 회장낭(장주머니)을 만든후 이를 항문과 연결하는 방법입니다. 그 외에도 소장을 항문에 연결하지 않고 배 바깥으로 끌어내어 인공장루를 만드는 경우도 있습니다. 인공장루를 만들지 않고 항문을 보존하는 방법은 수술후 사회적응이나 심리적 안정을 얻을 수 있다는 장점이 있고, 환자의 만족도도 높습니다. 그러나 이런 수술을 받은 경우 완전히 정상으로 돌아가는 것은 아니며, 대개가 묽은 변을 하루에 4-7회 보게되며, 5-30%의 환자에서는 변실금의 증상이 발생하기도 합니다.

궤양성 대장염 이미지
궤양성 대장염 이미지

크론병

크론병은 크게 염증성장질환에 속하는 질환으로서, 장관에 만성 염증성 병변을 유발합니다. 이러한 염증은 비특이적인 반응으로 구강에서 항문까지 어느 장관에나 병변이 발생할 수 있으며, 장관 전 층을 포함하여 주변 장기로 까지 염증이 파급될 수 있습니다.
이러한 크론병은 1932년 크론이라는 의사가 만성의 잘 치유되지 않는 장관의 염증을 처음보고 하면서 크론병이라고 명명되었으며, 우리나라를 포함한 동양의 경우 비교적 희귀한 질환으로 구분되었으나, 최근 생활양식이나 식습관이 급격하게 서구화되면서 질환의 발생률이 증가하고 있습니다.
크론병이 발생하는 경우 이를 완치시키는 치료방법이 있지는 않지만, 적절하고 충분한 치료는 증상을 완화시키고, 장기간 무증상 기간의 조절을 가져올 수 있으므로 삶의 질을 향상시키고 정상적인 사회활동을 가능하게 합니다.

증상

크론병의 증상은 매우 다양합니다. 증상의 심각도도 환자마다 큰 차이가 있으며, 염증성 병변이 장의 어느 부위를 침범했는가에 따라 다른 양상의 증상이 나타날 수 있습니다. 또한 장루, 농양 등 합병증 발생 여부에 따라서도 증상이 달라질 수 있으므로 한 두가지 증상으로 병을 진단하기는 어렵습니다. 크론병에서 비교적 자주 발생하는 증상들은 다음과 같습니다.

  • 복통
  • 설사
  • 빈혈
  • 혈변
  • 식욕부진 및 체중감소
  • 항문주위 농양 및 치루

최초 위와 같은 증상들로 병원을 방문하는 경우가 많으며, 주로 급성장염이나 기능성 장염 등으로 진단받는 경우가 많습니다. 하지만 특히 젊은 연령층의 환자의 경우 위와 같은 증상이 반복적으로 심해진다면 크론병을 한번쯤은 의심해 보아야 할 것입니다.

원인

크론병은 주로 소장의 끝 부위에서 염증이 발생하는 경우가 가장 흔하지만 대장, 위, 구강등에서도 발생하며 다발적으로 발생할 수 있습니다.

크론병이 왜 생기는 가에 대한 명확한 원인은 밝혀지지 않았지만, 몇 가지 가설이 제시되고있습니다. 이 중 면역이상설과 유전적 원인설이 가장 많은 관심을 끌고 있는 상황입니다. 면역이상설이란 바이러스나 세균의 감염 등에 대하여 비정상적인 면역계의 반응으로 장에 염증이 발생하고 크론병이 생긴다는 설이며, 유전적 원인설은 크론병과 관련이 있는 유전자의 이상을 가진 사람에게 이 병이 발생한다는 것입니다. 하지만 두 설을 포함하여 아직 크론병의 원인으로 확인된 것은 없습니다.

진단

크론병을 진단하는 고유의 방법은 없습니다. 장의 상태나 복부의 상태를 확인할 수 있는 다양한 방법이 크론병을 진단하는데 사용됩니다. 소장의 병변을 확인하기 위하여 소장의 조영술이 가장 흔하게 사용되면 최근에는 캡슐내시경, 소장내시경 등도 진단을 위해 사용되고 있습니다. 대장의 크론병을 위해서는 대장조영술이나 대장내시경을 시행합니다. 내시경을 하는 경우 병변에서 조직검사를 시행하는 경우가 있는데, 조직검사상 크론병에 적합한 소견이 나오는 경우 조금 더 정확하게 진단할 수 있습니다. 또한 복부농양이나 장루 등 합병증을 확인하기 위해 CT등의 검사가 도움이 될 수 있습니다. 하지만 많은 경우 크론병으로 확진 하지 못한 상태에서 치료를 시행하거나 관찰하는 경우도 있습니다.

합병증

크론병이 치료에 잘 반응하지 않거나 심해지는 경우 여러 가지 심각한 합병증이 발생할 수 있습니다. 이러한 합병증이 발생하는 경우 단순한 약물치료 이외 수술적 치료가 필요할 수 있습니다.

염증에 인한 섬유화로 장이 좁아져서 장폐쇄가 생기는 경우가 있습니다. 또한 염증이 심해져서 천공이 생기면 복막염이나 복부농양이 생길 수 있으며, 다른 장기와 연결이 되는 경우 장루가 발생합니다. 흔하지는 않지만 심한 궤양으로 인한 대량출혈이 발생할 수 있습니다. 이러한 합병증이 생기는 경우 상황에 맞게 중재적 방사선 치료나 수술이 시행됩니다.

크론병이 장기화 되는 경우 대장이나 소장암의 발생비율이 증가될 수 있으며 이를 위해서 정기적인 검사가 필요합니다.

치료

  • 약물치료

    크론병의 치료원칙은 약물치료입니다. 크론병의 염증을 줄일 수 있는 다양한 약물을 투여함으로써 증상을 줄이고 합병증을 예방하는 것이 치료의 목적입니다.
    크론병의 치료약제는 크게 염증억제제 및 면역억제제로 나눌 수 있으며 흔히 사용되는 설파살라진(Sulfasalazine), 메살라민(Mesalamine), 부신피질 호르몬제등이 염증억제제에 해당하며, 면역억제제로 아자티오프린(Azathioprine), 인플릭시맥(Infliximab)등이 사용될 수 있습니다. 그 외에도 항생제등 다양한 약제가 사용될 수 있으며 한가지 약제가 아닌 여러 약제의 조합도 사용됩니다. 어떤 약을 사용하는 가는 환자의 상태 및 약제 반응도를 보면서 결정하게 됩니다.

  • 증상치료

    치료 약제 뿐 아니라 증상에 따라 이를 완화시키려는 목적으로 다양한 약제가 사용될 수 있습니다. 흔히 진통제 및 변완화제, 항설사제 등이 사용되는 경우가 많습니다.

  • 영양요법

    많은 크론병환자가 영양결핍으로 고생하고 있습니다. 따라서 영양상태를 호전시키기 위한 노력이 필요합니다. 일반적으로 잔변이 적고 칼로리가 높은 식사가 권유되면 성분제제를 복용하는 것도 도움이 될 수 있습니다. 심한 영양결핍이 있는 경우 주사를 통한 고농도영양요법이 시행될 수 있습니다. 그 외 쉽게 결핍될 수 있는 비타민, 철분제등도 보충을 하는 것이 필요합니다.

  • 수술

    크론병에서 수술은 제한적인 상황에서 고려될 수 있습니다. 흔히 장관의 염증이 심해져서 발생하는 합병증인 장폐쇄, 복강내 농양, 장루 등이 발생하는 경우 수술을 고려합니다. 수술의 방법은 환자의 상태에 따라서 다양하며 가능한 장을 보존하는 술 식을 사용합니다.

    크론병은 항문주변의 다양한 질병을 유발하는데 항문주위농양 혹은 치루가 발생하는 경우 수술을 고려합니다. 가능한 수술범위를 크게 하지 않는 범위 내에서 수술을 시행하는 경우가 많습니다.

자가 관리법

크론병은 일생 동안 주의를 기울이고 조절을 필요로 하는 질병입니다. 따라서 정기적인 검사 및 필요 시 약물, 수술치료 이외에도 일상생활에서의 관리가 필요합니다. 특히 생활 습관의 조절 및 식습관의 관리는 증상을 줄이고 무증상기간을 늘이는데 도움을 줄 수 있습니다.

  • 식이조절

    식이의 조절이 병세에 직접적으로 관여한다는 확실한 증거는 부족합니다. 하지만 식습관에 따른 증상의 호전 및 악화는 환자들이 흔하게 경험하는 일입니다. 따라서 환자의 상태에 맞는 적절한 식습관을 갖는 것이 필요합니다. 우선 환자 마다 특이한 음식에 반응을 보이는 경우가 있습니다. 유제품에 심한 설사를 일으키는 경우도 있고 자극적인 음식을 먹는 경우 복통 등을 호소할 수 있습니다. 개별적으로 증상을 일으키거나 악화시키는 음식은 우선적으로 피하는 것이 바람직합니다. 또한 지방이 많은 음식의 경우 설사와 복통을 일으키므로 저지방식이 권유됩니다. 지나친 섬유소의 섭취도 피하는 것이 좋으므로 날야채 및 견과류 등을 지나치게 섭취하는 것도 바람직하지 않습니다. 그 외 신선한 음식을 골고루 먹되 과식을 하지 않고 적당량을 고루 나누어 먹는 방식의 식습관이 필요합니다.

  • 스트레스 조절

    스트레스가 병의 원인이 되지는 않지만 증상을 악화시킬 수는 있습니다. 가능한 전신상태를 쾌적하게 유지하는 것이 중요합니다.

    이를 위해서 과로를 피하는 것이 바람직하며 다양한 신체활동 및 여가활동을 통하여 심신을 안정시키는 것이 좋습니다. 적절한 운동은 크론병의 증상완화에도 도움을 줄 수 있으며 환자의 기호에 맞는 음악감상, 독서 등 적절한 취미생활을 즐기는 것도 도움이 될 수 있습니다.

  • 생활습관

    가능한 심신을 편안한 상태로 유지하기 위한 일상생활의 리듬을 유지하는 것이 바람직합니다. 충분한 수면 및 적절한 신체활동 및 작업이 도움이 되며 역시 가능한 정규적인 일상생활이 좋습니다. 과도한 업무나 불규칙한 일정 등은 병세를 악화시킬 수 있습니다.

대장암

대장암이란 대장에 생긴 암세포로 이루어진 악성종양을 말한다.

우리가 음식을 먹게 되면 섭취된 음식물은 소화관을 거쳐 대변으로 배설된다. 우리 몸의 소화기관은 식도, 위, 소장, 대장으로 구분되는데 대장은 소화기관의 마지막 부위이며 주로 수분 및 전해질의 흡수가 일어난다. 대장은 크게 결장과 직장으로 구분되고 결장은 다시 맹장, 상행결장, 횡행결장, 하행결장 그리고 에스(S)결장으로 나누어지는데, 암이 발생하는 위치에 따라 결장에 생기는 암을 결장암, 직장에 생기는 암을 직장암이라고 하고, 이를 통칭하여 대장암 혹은 결장 직장암이라고 한다. 대략적인 대장의 각 부위 별 암 발생률은 맹장과 상행결장 25%, 횡행결장 15%, 하행결장 5%, S 결장 25%, 직장-S 결장 접합부 10%, 직장 20% 정도로 알려져 있다.

대장은 파이프 모양의 관으로 안쪽에서부터 점막층, 점막하층, 근육층, 장막층 등 4개의 층으로 나뉘어져 있다. 대부분의 대장암은 대장의 점막에서 발생하는 선암이며, 이 외에도 림프종, 육종, 편평상피암, 다른 암의 전이성 병변 등이 있다.

발병위치 대장암 발병위치 이미지
대장구조 대장암 발병위치 이미지

원인

대장암의 원인은 크게 환경적인 요인과 유전적인 요인으로 나눌 수 있다.

식사와 대장암의 관련성은 가장 많이 연구된 분야로, 이민 등으로 거주 지역이 변하면 유전적 차이에 상관없이 지역적인 특성에 따라 대장암의 발생률이 달라진다. 특히 높은 열량의 섭취, 동물성 지방 섭취, 섬유소 섭취 부족, 비만 등과 대장암의 발생이 관련있는 것으로 알려져 있다.

  • 동물성 지방의 과도한 섭취

    식이의 조절이 병세에 직접적으로 관여한다는 확실한 증거는 부족합니다. 하지만 식습관에 따른 증상의 호전 및 악화는 환자들이 흔하게 경험하는 일입니다. 따라서 환자의 상태에 맞는 적절한 식습관을 갖는 것이 필요합니다. 우선 환자 마다 특이한 음식에 반응을 보이는 경우가 있습니다. 유제품에 심한 설사를 일으키는 경우도 있고 자극적인 음식을 먹는 경우 복통 등을 호소할 수 있습니다. 개별적으로 증상을 일으키거나 악화시키는 음식은 우선적으로 피하는 것이 바람직합니다. 또한 지방이 많은 음식의 경우 설사와 복통을 일으키므로 저지방식이 권유됩니다. 지나친 섬유소의 섭취도 피하는 것이 좋으므로 날야채 및 견과류 등을 지나치게 섭취하는 것도 바람직하지 않습니다. 그 외 신선한 음식을 골고루 먹되 과식을 하지 않고 적당량을 고루 나누어 먹는 방식의 식습관이 필요합니다.

  • 섬유질 섭취 부족

    섬유질, 야채류, 과일류의 충분한 섭취는 대장암의 예방 효과가 있다. 섬유질은 음식물이 장을 통과하는 시간을 단축시킴으로써 발암물질과 장 점막과의 접촉시간을 단축시키고 장 내 발암물질을 희석시키는 작용을 한다.

  • 칼슘, 비타민D의 부족

    칼슘 섭취가 대장암 발생 억제 효과가 있다는 연구들이 보고되고 있으며, 몸 안에 비타민 D 농도가 충분하면 대장암 사망률이 감소하는 것으로 알려져 있다. 칼슘은 이온화된 지방산이나 담즙산 등과 결합하여 용해되지 않는 칼슘염을 형성하여 대장 점막의 증식을 억제하는 역할을 한다.

  • 굽거나 튀기는 조리방법

    육류를 굽거나 튀기거나 바비큐할 경우 대장암 발생 위험이 증가한다고 알려져 있다. 높은 온도에서 육류가 조리될 때 나오는 발암물질이 대장암의 발생을 촉진하기 때문이다.

  • 운동 부족

    대장암 발생률이 높은 서구국가를 중심으로 이루어진 연구들에 따르면 노동량이 많은 직업에 종사하는 사람에서 대장암의 발생 위험이 감소되며, 일과 시간뿐 아니라 여가 시간에 즐기는 운동량도 대장암의 발생위험을 낮춘다고 보고되었다. 신체활동이나 운동은 장의 연동운동을 활발하게 만들어 대변이 장을 통과하는 시간을 단축시킴으로써 대변 내 발암물질과 장 점막이 접촉할 시간이 줄어들게 하는 효과가 있다.

  • 염증성 장 질환

    염증성 장 질환인 궤양성 대장염(ulcerative colitis)과 크론병(Crohn’s disease)이 있을 경우 대장암 발병위험이 증가한다. 궤양성 대장염의 경우는 일반인보다 대장암 발생 위험률이 10배 이상 증가하고 크론병의 경우 일반인에 비해 대장암 발생률이 4~7배 증가한다고 알려져 있다. 따라서 염증성 장 질환으로 진단받은 사람은 규칙적으로 대장검사를 받는 것이 중요하다.

  • 대장 용종

    선종성 용종은 대장에 생기는 혹으로 대부분의 대장암은 원인에 관계없이 선종성 용종이라는 암의 전단계를 거쳐 암으로 발전하게 된다. 선종성 용종은 증상이 없는 50세 이상의 성인이 대장 내시경을 할 경우 약 30% 정도에서 발견된다. 선종성 용종이 얼마나 암으로 발전할 위험이 있는지는 용종의 크기와 현미경적 조직 소견에 따라 차이가 있다. 크기가 1cm보다 작은 경우는 암세포가 들어 있을 확률이 1% 정도이지만 2cm보다 크면 암세포가 들어 있을 확률이 약 35~50%나 된다. 또한 조직검사에서 융모성 성분을 많이 포함 하고 있을 경우 암으로 진행할 가능성이 높아진다.

  • 유전적 요인

    대장암이나 대장 선종을 가진 환자의 가족은 그렇지 않은 사람에 비해 대장암에 걸릴 확률이 높다. 대장암의 발병위험을 높이는 가족 내 유전질환으로는 크게 두 가지가 있다. 첫째는 가족성 선종성 대장 폴립증이라고도 불리는 가족성 용종증(Familial Adenomatous Polyposis)인데, 이 질환은 수백 또는 수천 개의 선종이 대장에 생기게 되고 성인이 되면 거의 100% 암으로 진행한다. 둘째는 유전성 비용종증 대장암(Hereditary Non-Polyposis Colorectal Cancer)이며, 이 질환은 젊은 나이에 발병하고 가족성 용종증보다 흔하고 이 질환을 발견한 린치라는 사람의 이름을 붙여 린치 증후군이라고도 불린다. 상염색체 우성으로 유전되며 DNA 부정합을 교정하는 유전자인 hMSH2, hMLH1, hMSH6, hPMS1, hPMS2 이상과 연관 있다.

    대장암 가족력에 따른 대장암 발생 위험률은 다음과 같다.

    • 일차 직계가족 중 1명이 대장암 발병 : 약 2~3 배 위험도 증가
    • 일차 직계가족 중 2명이 대장암 발병 : 약 3~4 배 위험도 증가
    • 일차 직계가족 중 1명이 50세 이전에 대장암 발병 : 약 3~4 배 위험도 증가
    • 이차 직계가족 또는 삼차 직계가족 중 1명이 대장암 발병 : 약 1.5 배 위험도 증가
    • 이차 직계가족 중 2명이 대장암 발병 : 약 2~3 배 위험도 증가
    • 일차 직계가족 중 1명이 대장 선종 발병 : 약 2 배 위험도 증가
    • 일차 직계가족 : 부모, 형제, 자녀
    • 이차 직계가족 : 조부모,, 손자, 삼촌, 이모, 고모, 조카 등
    • 삼차 직계가족 : 증조부모, 증손자, 사촌 등
  • 50세 이상의 연령

    대장암은 연령에 비례하여 발생하는 경향이 있어 50세 이상의 연령에서 발생률이 증가한다.

증상

초기 대장암의 경우에는 아무런 증상도 나타나지 않는다. 그러나 증상이 없는 경우에도 눈에 띄지 않는 장 출혈로 혈액이 손실되어 빈혈이 생길 수 있으며, 간혹 식욕부진과 체중감소가 나타나기도 한다. 암이 진행된 경우에는 배가 아프거나 설사 또는 변비가 생기는 등 배변습관의 변화가 나타나기도 하고 항문에서 피가 나오는 직장출혈의 증세가 나타날 수 있다. 혈액은 밝은 선홍색을 띄거나 검은 색으로 나타날 수 있다. 진행이 된 경우에는 배에서 평소에 만져지지 않던 덩어리가 만져질 수 있다.

가장 주의해야 할 증상으로는 배변 습관의 변화, 혈변, 동통 및 빈혈이며, 특히 40세 이상의 성인에서 이와 같은 변화가 있을 때에는 철저히 조사할 필요가 있다.

대장암의 증상은 암의 발생 부위나 암의 진행 정도에 따라 달라지는데, 우측 대장의 내용물은 비교적 변에 수분이 많이 포함되어 있어 액체 상태로 존재하기 때문에 암의 크기가 충분히 클 때까지는 장이 막히는 경우가 드물다. 따라서 배변습관의 변화가 잘 생기지 않고 증상이 거의 없거나 있더라도 변비보다는 설사를 동반하는 경우가 많다. 대부분 체중감소와 식욕부진, 빈혈 등의 증상으로 피곤하고 몸이 약해졌다는 느낌이 든다. 복부팽만이 있거나 진행된 경우 우측 아랫배에 혹이 만져지기도 한지만 변에 피가 관찰되거나 분비물이 섞인 점액변을 보는 경우는 드물다. 횡행결장과 좌측 대장으로 갈수록 변이 농축되고 대장 지름이 좁아지므로 좌측 대장암인 경우 변비와 통증을 동반하는 경우가 많다. 변에 피가 섞여 나오는 혈변이 우측 대장암보다 흔하게 보인다. 가끔 설사를 하기도 하나 다시 변비로 바뀌는 대변습관의 변화가 나타나기도 한다.

진단

대장암의 확진은 대장 내시경 검사를 통한 조직검사를 통해 암세포를 발견해야 가능하다. 대부분 대장암은 조기에는 증상이 없으므로 증상이 없더라도 50세가 넘는 성인은 누구나 대장검사를 받는 것이 추천된다. 대장암 진단에 도움이 되는 검사로는 직장수지검사, 대변검사, 대장 조영술, CT 또는 MRI 검사, 초음파검사, 혈액검사 등이 있다.

바륨 대장 조영술 바륨 대장 조영술 이미지
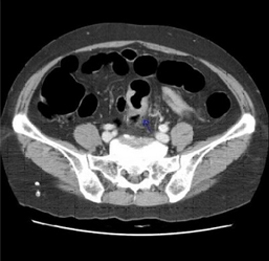
CT CT 이미지

검사

  • 직장 수지 검사

    검사자가 항문을 통해 손가락을 삽입하여 직장부위 종양을 진단하는 것으로 이 부위에 발생하는 종양을 쉽게 확인할 수 있다. 가장 쉽게 할 수 있는 검사가 직장에 손가락을 넣어서 만져 보는 직장수지검사이다. 전문의가 검사할 때에는 직장암의 75%를 발견할 수 있다.

  • 대변검사(분변잠혈 반응검사)

    흔히 대변검사라 칭하는 것으로 대변의 혈액성분을 확인하는 것이다. 검사에서 양성인 경우 정확한 진단을 위해 대장내시경 검사를 받아야 한다. 많은 사람들을 대상으로 하는 집단 검사에서 1차 검사 방법으로 효과가 검증된 간단하고 경제적인 검사법이다.

  • 이중바륨 대장 조영술

    항문을 통해 작은 튜브를 삽입하고 바륨 조영제를 넣고 대장 내부를 공기로 확장시킨 다음, 대장 속의 대장 점막에 이상이 있는지 검사하는 방법이다. 검사 중 진통제나 수면유도제가 필요치 않으며 전체 대장을 안전하게 검사할 수 있다는 장점이 있는 반면, 정확한 검사를 위해 하제를 이용하여 장을 비우는 것이 필요하고 방사선 노출 위험이 있다는 단점이 있다. 무엇보다 용종에 대해서 예민도가 대장 내시경 검사에 비해 낮아 작은 용종이나 암을 발견하지 못할 수 있다. 용종이나 암이 의심되는 경우 정확한 진단 및 조직검사를 위해 대장 내시경 검사를 추가로 받아야 한다.

  • 대장 내시경

    항문을 통하여 내시경을 삽입하여 대장 전체를 관찰하는 검사로 대장 질환을 가장 정확히 진단 할 수 있다. 환자는 검사를 위해서 전날 저녁식사는 죽 등으로 가볍게 하고 하제를 복용하여 대장 내에 남아있는 변을 제거하여야 한다. 대장 내시경검사는 대장암, 대장 용종의 발견에 있어 진단률이 매우 높고 조직검사와 용종 제거가 가능하므로 매우 유용한 검사법이나, 검사하는 동안 통증을 느낄 수 있고, 통증을 줄이기 위해 수면유도제를 사용할 경우 약물사용으로 인한 부작용이 나타날 수 있다. 또한 드물긴 하지만 장 천공 등의 합병증이 생길 수 있으며 암 등으로 대장이 막혀 있으면 더 이상 검사를 진행할 수 없는 단점이 있다.

  • CT 대장 조영술

    CT 대장 조영술 검사는 컴퓨터 기술과 영상의 눈부신 발전에 힘입어 대장암의 새로운 검사법으로 주목받고 있다. 정확한 검사를 위해 대장을 비우는 것이 필수적이므로 대장 내시경과 같은 방법으로 하제를 이용해 장을 비워야 한다. 검사는 항문에 튜브를 삽입하고 공기나 이산화탄소를 주입하여 장을 부풀려서 CT 촬영하여 영상을 얻고, 이 영상들을 컴퓨터에서 3차원 영상 재구성 소프트웨어를 이용하여 마치 내시경으로 대장 내부를 보듯이 가상의 이미지를 만들어내어 대장을 관찰 하게 된다.

    CT 대장조영술의 장점은 안전하고 검사시간이 매우 짧다는 점이다. 장 천공이나 출혈 등의 합병증이 거의 없고 대장 내시경처럼 통증을 줄이기 위해 안정이나 수면유도제를 사용할 필요가 없기 때문에 10분에서 15분만에 검사를 끝내고 곧바로 집이나 직장으로 돌아갈 수 있다. 또한 고령이나 심장병, 신장병 등의 여러 가지 내과적인 질환을 앓고 있어 대장내시경 검사를 받기 어려운 경우에도 검사가 가능하다. 암으로 인해 대장이 막혀서 내시경이 통과하지 못하는 경우에도 상부 대장의 상태를 평가할 수 있으며, 일반 복부 CT 검사와 마찬가지로 대장뿐 아니라 배 속의 내부 장기 즉, 간, 담낭, 췌장, 비장, 신장 등의 다른 장기도 함께 검사할 수 있다.

    그러나, 대장암을 진단하는 데는 우수하지만 대장 내시경에 비해 5mm 이하의 작은 용종 발견률이 낮고, 가끔 잔변과 암의 구별이 어려운 경우가 있으며, 환자가 방사선 조사를 받아야 하고, 암이나 용종이 발견되어도 조직검사를 할 수 없어 다시 대장내시경 검사를 받아야 하는 단점이 있다.

기타 검사

  • 암 태아성 항원(CEA) 검사

    종양 표지자인 CEA는 태아 시기에 정상적으로 만들어지는 일종의 당단백질로, 태어나기 전에 이 물질의 생산이 중단된다. 만약 혈액검사에서 종양 표지자 CEA 수치가 높다면 이것은 대장암이나 다른 암이 있을 가능성이 있으므로 정밀 검사를 받아야 한다. 그러나 CEA는 폐암이나 흡연자에서도 증가할 수 있어 대장암을 진단하기에는 부적합하고 대장암의 수술 전 병기 판정이나 암 치료의 효과를 검사하기 위해서 또는 암의 재발 확인을 위한 검사에서 보조적으로 쓰인다.

  • 복부 CT, MRI

    대장암이 진단되는 경우는 대장암의 진행 및 전이여부를 파악하기 위해서 복부 및 골반부 CT 또는 MRI, 직장 초음파 등의 검사가 필요하다.

    • 전산화 단층촬영(CT)
      주로 대장암을 진단하고 암이 주변 장기나 간, 림프절 등으로 전이 되었는지 알아보는데 가장 널리 사용되는 검사이다. 검사 전날 특별한 처치는 필요하지 않으며 검사 당일 8시간 정도의 금식이 필요하고 정확한 검사를 위해 정맥주사를 통해서 조영제를 주입 받고 검사를 받는다. 이때 신장의 기능이 떨어져 있는 환자나 조영제에 알레르기 반응, 즉 조영제 주사 후 심한 구토, 피부 발적, 두드러기, 가려움증, 목이 붓고 쉬는 듯한 증상을 보인 적이 있는 환자는 검사 전에 담당의사와 상의해야 한다.
    • 자기공명영상(MRI)
      CT검사에서 간 전이가 명확하지 않거나 간으로 전이된 암의 개수를 정확히 파악하고자 할 때 보조적으로 사용된다. 직장암의 경우 직장 주변으로 암이 얼마나 퍼졌는지 알아보는데 유용하여 직장암 진단 후 치료 방침 결정하는데 도움이 된다. CT검사와 다른 종류의 조영제 주사를 이용하므로 CT검사에서 사용되는 조영제에 부작용을 반응을 보이는 경우에도 검사 할 수 있다. 그러나 검사비가 비싸고, 검사 시간도 CT검사에 비해 길며, 좁은 원통형 공간에 들어가 검사를 하므로 폐쇄
  • 초음파검사

    초음파검사로 소장 및 대장을 관찰하는 것은 매우 제한적이어서 대장암 진단의 민감도가 매우 낮다. 따라서 대장암의 진단보다는 전산화단층촬영 즉 CT와 상호보완적으로 배 안의 장기로 암이 퍼졌는지 파악하는데 주로 사용된다. 특히 간전이와 양성낭종 등을 구분하는데 도움이 된다. 초음파검사 방법 중 항문을 통해 시행하는 직장초음파검사는 자기공명영상(MRI)과 비슷한 정도로 직장암의 침범 깊이 파악 및 주변의 커진 림프절 발견에 정확도가 높아 병기 판정을 통한 직장암의 치료 방침 결정과 환자의 예후 판정에 도움이 되는 검사이다.

    주변으로 암이 얼마나 퍼졌는지 알아보는데 유용하여 직장암 진단 후 치료 방침 결정하는데 도움이 된다. CT검사와 다른 종류의 조영제 주사를 이용하므로 CT검사에서 사용되는 조영제에 부작용을 반응을 보이는 경우에도 검사 할 수 있다. 그러나 검사비가 비싸고, 검사 시간도 CT검사에 비해 길며, 좁은 원통형 공간에 들어가 검사를 하므로 폐쇄 공포증이 있는 경우에는 검사를 하기 어렵다.

  • 양전자방출 단층촬영(PET) 및 PET-CT 검사

    일반적으로 암세포가 정상세포에 비해 대사활동이 빠른 점을 이용하여 포도당에 양전자 방출체를 표지물질로 부착시켜 주사한 후 표지물질로부터 방출되는 감마선으로 암세포를 발견하는 검사법이다. 그러나 이 검사로부터 얻어지는 영상은 암의 정확한 위치가 어디인지 구별하기 어려울 때도 있고 암이 아닌 염증성 변화에도 양성을 보이는 단점이 있다. 이러한 단점을 보완하기 위해 PET검사와 함께 CT검사도 시행하여 두 검사의 결과를 하나의 영상으로 조합하는 PET-CT검사가 새로이 개발되었다. 이 검사는 단독으로 시행되는 일은 드물며 수술 전 CT에서 간 전이 등이 의심될 때 MRI검사와 함께 간 내의 전이암 개수의 정확한 파악이나 타 장기로의 전이를 확인하고자 할 때 사용되기도 하고 특히 수술 후 추적 CT검사에서 재발 또는 전이가 의심되는 경우에 추가로 사용된다.

CT 대장조영술에서 발견된 대장암 CT 대장조영술에서 발견된 대장암 이미지
대장내시경검사에서 확인된 대장암 대장내시경검사에서 확인된 대장 이미지
상단으로

이용약관

제1장 총칙
제1조 (목적)

이 서비스 약관은 회원이 바로본병원(이하 “병원”)에서 제공하는 인터넷 관련 서비스(이하 “서비스”) 를 이용하면서 회원과 병원 간의 권리, 의무 및 책임사항, 하나의 아이디 및 비밀번호로 통합하여 이용하는 데 따른 이용조건 및 절차 등의 기본적인 사항을 규정함을 목적으로 합니다.

제2조(약관의 효력 및 변경)

약관의 내용은 서비스 화면에 게시하고 이용자가 동의함으로써 효력이 발생합니다. 병원은 합리적인 사유가 발생할 경우에는 이 약관을 변경할 수 있으며, 약관이 변경되는 경우에는 최소한 7일 전에 공지합니다. 또한, 새로운 서비스가 개설될 경우 별도의 명시된 설명이 없는 한 이 약관에 따라 제공됩니다.

  • ① 본 약관은 병원이 서비스 화면을 통해 게시하고 이용자가 이에 동의함으로써 효력이 발생합니다.
  • ② 병원은 "약관의 규제 등에 관한 법률", "정보통신망 이용촉진 및 정보보호 등에 관한 법률", "개인정보보호법" 등 관련 법령을 위반하지 않는 범위에서 이 약관의 내용을 수정하거나 변경할 수 있습니다.
  • ③ 병원이 약관을 개정할 경우에는 적용 일자 및 개정사유를 명시하여 현행약관과 함께 서비스화면에 그 적용 일자 7일 이전부터 적용 일자 전날까지 서비스 홈페이지에 알립니다.
  • ④ 병원이 전항에 따라 알리면서 고지일로부터 개정약관 시행일 7일 후까지 거부 의사를 표시하지 아니하면 승인한 것으로 본다는 뜻을 명확하게 알렸음에도 의사표시가 없는 경우에는 변경된 약관을 승인한 것으로 봅니다. 회원이 개정약관에 동의하지 않을 경우 회원은 제7조 제1항의 규정에 따라 이용계약을 해지할 수 있습니다.
제3조(약관 외 준칙)

이 약관에 명시되지 않은 사항에 대해서는 전기통신기본법, 전기통신사업법 등 관계 법령 및 병원이 정한 서비스의 세부이용지침 등의 규정에 의합니다.

제4조(용어의 정의)

이 약관에서 사용하는 용어의 정의는 다음과 같습니다.

  • ① 이용자 : 병원이 제공하는 서비스를 받는 회원과 비회원
  • ② 회원 : 병원과 서비스 이용계약을 체결하고 이용자 아이디(ID)를 부여받은 자
  • ③ 비회원 : 회원에 가입하지 않고 병원이 제공하는 서비스를 이용하는 자
  • ④ 아이디(ID) : 회원식별과 회원의 서비스 이용을 위하여 회원이 설정하고 병원이 승인하는 문자 또는 숫자의 조합
  • ⑤ 비밀번호 : 회원의 정보 보호를 위해 회원 자신이 설정한 문자 또는 숫자의 조합
    개인정보 보호를 위해 비밀번호는 복호화가 불가능 한 형태로 암호화되어 저장되며, 개인 인증 및 의료서비스 연동 등의 불가피한 사항을 제외하고 절대 사용되지 않음.
  • ⑥ 연결 사이트 : 홈페이지와 하이퍼링크 방식(하이퍼링크의 대상에는 문자, 정지 및 동화상 등이 포함됨)등으로 연결된 웹 사이트를 말한다.
  • ⑦ 운영자 : 서비스의 전반적인 관리와 원활한 운영을 위하여 병원에서 선정한 사람.
  • ⑧ 개인정보 : 당해 정보에 포함된 성명, 생년월일 등의 사항에 의하여 특정 개인을 식별할 수 있는 정보(당해 정보만으로는 특정 개인을 인식할 수 없더라도 다른 정보와 쉽게 결합하여 식별할 수 있는 것을 포함한다)
  • ⑨ 해지 : 이용자가 서비스 개통 후 이용계약을 해약하는 것
제2장 회원의 가입 및 탈퇴
제5조 (회원 가입)
  • ① 이용자는 병원의 정한 양식에 따라 회원정보를 기재한 후 본 약관에 동의한다는 의사표시를 함으로써 회원 가입을 신청합니다.
  • ② 병원은 전항과 같이 회원으로 가입할 것을 신청한 이용자 중 이하 각 호에 해당하지 않는 한 회원으로 등록합니다.
    • 1. 본인의 실명으로 신청하지 않는 경우
    • 2. 다른 사람의 명의를 사용하여 신청하는 경우
    • 3. 가입 신청자가 본 약관 제7조 제2항에 따라 이전에 회원 자격을 잃은 적이 있는 경우
    • 4. 등록내용에 허위, 기재누락, 오기가 있는 경우
    • 5. 기타 회원으로 등록하는 것이 병원의 기술상 또는 업무 수행상 현저히 지장이 있다고 판단하는 경우
  • ③ 회원 가입계약의 성립시기는 병원이 승낙한 시점으로 합니다.
  • ④ 만 14세 미만의 아동이 회원 가입하여 병원 서비스를 정상적으로 이용하기 위해서는 병원에서 정한 양식에 따라 법정대리인의 사전동의가 필요하며, 법정대리인의 동의 이전에는 아동의 개인정보를 수집하지 않습니다.
제6조(회원 정보의 변경)
  • ① 회원은 개인정보관리화면을 통하여 언제든지 본인의 개인정보를 열람하고 수정할 수 있습니다.
  • ② 회원은 이용 신청 시 기재한 회원정보가 변경되었을 경우 자신이 직접 온라인으로 수정해야 하며, 변경하지 않은 정보에 인해 발생하는 문제의 책임은 회원에게 있습니다.
제7조(회원 탈퇴 및 자격상실 등)
  • ① 회원은 탈퇴를 희망할 경우 탈퇴를 요청할 수 있으며, 병원은 즉시 이를 처리합니다. 단, 탈퇴의 요청은 전자메일로 하여야 하며 개인정보를 위해 개인 확인 절차를 거친 후 탈퇴하게 됩니다. 탈퇴 후 관련법 및 개인정보취급방침에 따라 회원정보를 삭제합니다.
  • ② 회원이 다음 각 호의 사유에 해당하면, 병원은 회원자격을 상실시킬 수 있습니다.
    • 1. 가입 신청 시에 허위 내용을 등록한 경우
    • 2. 다른 사람의 서비스 이용을 방해하거나 타인의 명예를 훼손하거나 그 정보를 도용하는 등 전자 거래 및 정보통신서비스 이용질서를 위협하는 경우
    • 3. 검증되지 않은 허위정보 및 기타 허락되지 않은 물품의 판매를 하는 경우
    • 4. 허락되지 않은 진료행위 또는 진료행위를 위한 선전의 장소로 이용하는 경우
    • 5. 제공되는 정보를 변경하는 등 병원의 운영을 방해한 경우
    • 6. 법령과 본 약관이 금지하거나 미풍양속에 저해하는 행위를 하는 경우
    • 7. 기타 회원의 자격을 지속시키는 것이 부적절하다고 판단되는 경우
제3장 서비스이용
제8조 (서비스의 내용)
  • ① 병원은 다음의 서비스를 제공합니다.
    • 1. 병원에서 제공하는 일반 안내 서비스
    • 2. 병원 또는 연결사이트를 통해 제공되는 각종 예약 서비스
    • 3. 병원에서 제공하는 각종 증명서 발급 서비스
    • 4. 병원에서 제공하는 건강정보 서비스
    • 5. 기타 병원이 정하는 서비스
제9조(서비스 이용개시)
  • ① 병원은 회윈의 이용신청을 승낙한 때부터 서비스를 개시합니다. 단, 일부 서비스의 경우에는 지정된 일자부터 서비스를 개시합니다.
  • ② 병원의 업무상 또는 기술상의 장애로 인하여 서비스를 개시하지 못하는 경우에는 사이트에 공시하거나 회원에게 이를 통지합니다.
제10조(서비스의 변경 및 중지)
  • ① 병원은 변경될 서비스의 내용 및 제공일자를 제12조에서 정한 방법으로 회원에게 통지하고 서비스를 변경하여 제공할 수 있습니다.
  • ② 병원은 다음 각 호에 해당하면 서비스의 전부 또는 일부를 제한하거나 중지할 수 있습니다.
    • 1. 서비스용 설비의 보수 등 공사로 인한 부득이한 경우
    • 2. 회원이 병원의 영업활동을 방해하는 경우
    • 3. 정정, 제반 설비의 장애 또는 이용량의 폭주 등으로 정상적인 서비스 이용에 지장이 있는 경우
    • 4. 서비스 제공업자와의 계약 종료 등과 같은 병원의 제반 사정으로 서비스를 유지할 수 없는 경우
    • 5. 기타 천재지변, 국가비상사태 등 불가항력적 사유가 있는 경우
  • ③ 제2항에 의한 서비스 중단의 경우에는 병원이 제12조에서 정한 방법으로 이용자에게 통지합니다. 다만, 병원이 통제할 수 없는 사유로 인한 서비스의 중단(운영자의 고의, 과실이 없는 디스크장애, 시스템 다운 등)으로 인하여 사전 통지가 불가능한 경우에는 그러하지 아니합니다.
  • ④ 병원은 서비스의 변경, 중지에 발생하는 문제에 대해서는 어떠한 책임도지지 않습니다.
제11조(서비스에 관한 책임과 제한)
  • ① 건강관련 정보 제공 서비스
    • 1. 병원에서 제공하는 건강관련 정보는 개략적이며 일반적인 것으로서 특정인의 의견에 지나지 않으며 어떠한 경우에도 전문적인 의학적 진단, 진료, 치료를 대신할 수 없습니다.
    • 2. 병원은 건강관련 정보제공 서비스에서 언급된 어떠한 특정한 검사나 제품 또는 치료법을 보증하지 않습니다.
    • 3. 병원은 제공하는 건강관련 정보는 전적으로 이용자의 판단에 따라 이용되는 것으로서, 병원은 건강관련 정보의 제공과 관련하여 어떠한 책임도지지 않습니다.
  • ② 진료 예약 및 이력 조회 서비스
    • 1. 개인정보보호를 위해 서비스를 제공을 위한 본인식별이 반드시 필요합니다. 따라서 본인인증 절차에 따라 본인확인 후 서비스를 제공합니다.
    • 2. 병원은 (주)나이스평가정보를 통한 본인인증(아이핀과 휴대폰인증)서비스를 제공하고 있습니다.
    • 3. 휴대폰인증을 받을 경우에는 인증에 사용된 전화번호를 통신사에서 받아 자동입력을 받으며, 회원 가입 신청서 작성 시 또는 회원정보 변경에서 전화번호는 직접 변경하실 수 있습니다.
  • 병원과 연결 사이트간의 관계

    병원은 연결사이트가 독자적으로 제공하는 재화, 용역, 서비스에 의하여 이용자와 행하는 거래에 대해서 어떠한 보증책임을 지지 않습니다.

제12조(회원에 대한 통지)
  • ① 병원은 서비스를 운영함에 있어 병원의 서비스이용과 관련한 처리 결과 및 안내에 대한 통지를 할 수 있으며, 회원이 병원에 제공한 전자우편(이메일) 또는 SMS전송으로 할 수 있습니다. 단, 회원의 동의에 따라 제한 될 수 있습니다.
  • ② 병원은 불특정다수 회원에 대한 통지의 경우 게시판에 게시함으로써 개별통지에 갈음할 수 있습니다.
제4장 개인정보의 보호
제13조(개인정보의 수집 및 이용)
  • ① 병원은 본 서비스의 원활한 운영을 위해 필요한 이용자의 최소한의 정보를 수집합니다.
  • ② 이용자의 개인정보를 수집하는 때에는 이하 각호의 경우를 제외하고는 당해 이용자의 동의를 받습니다.
    • 1. 법률에 특별한 규정이 있는 경우
    • 2. 서비스이용계약의 이행을 위해서 필요한 경우
    • 3. 서비스의 제공에 따른 요금정산을 위하여 필요한 경우
  • ③ 병원은 개인정보의 보호를 위하여 관리자를 한정하여 그 수를 최소화하며 개인정보의 분실, 도난, 유출, 변조되지 아니하도록 안정성 확보에 필요한 기술적 조치 등을 강구합니다.
  • ④ 제공된 개인정보는 당해 이용자의 동의 없이 목적 외 이용이나 제3자에게 제공할 수 없습니다. 단, 다음의 경우에는 예외로 합니다.
    • 1. 법률에 특별한 규정이 있는 경우
    • 2. 사용자 인증 절차
    • 3. 서비스의 제공에 따른 요금정산 및 배송등을 위하여 필요한 경우
    • 4. 병원 홈페이지의 원활한 운영 및 통계분석자료로 활용
    • 5. 통계작성?학술연구 또는 시장조사를 위하여 필요한 경우로서 특정 개인을 식별할 수 없는 형태로 제공하는 경우
  • ⑤ 병원은 개인정보의 수집목적을 달성한 때에는 당해 개인정보를 바로 파기합니다.
  • ⑥ 쿠키(cookie)의 운영에 관한 사항
    • 1. 이용자들에게 특화된 맞춤서비스를 제공하기 위해서 병원은 이용자들의 정보를 저장하 고 수시로 불러오는 '쿠키(cookie)'를 사용합니다.
    • 2. 쿠키는 웹사이트를 운영하는 데 이용되는 서버(HTTP)가 이용자의 컴퓨터 브라우저에게 보내는 소량의 정보이며 이용자들의 PC 컴퓨터 내의 하드디스크에 저장되기도 합니다.
    • 3. 쿠키를 이용하여 이용자들이 방문한 병원의 각 서비스에 대한 방문 및 이용형태, 이용 자 규모 등을 파악하여 더욱더 편리한 서비스를 만들어 제공할 수 있습니다. 이용자들은 쿠키에 대하여 사용여부를 선택할 수 있습니다.
    • 4. 웹 브라우저 상단의 "도구>인터넷 옵션" 기능에서 모든 쿠키를 다 받아들이거나, 쿠키가 설치될 때 통지를 보내도록 하거나, 아니면 모든 쿠키를 거부할 수 있는 선택권을 가질 수 있습니다. 다만, 쿠키의 저장을 거부할 경우에는 로그인이 필요한 서비스는 이용할 수 없습니다.
    • 5. 이용자가 서비스페이지에 접속한 후 로그인(LOG-IN)하여 회원제 서비스를 이용하기 위 해서는 쿠키를 허용하셔야 합니다. 병원 홈페이지는 이용자들에게 적합하고 보다 유용한 서비스를 제공하기 위해서 쿠키를 이용하여 아이디에 대한 정보를 찾아냅니다. 쿠키는 이 용자의 컴퓨터는 구별하지만 이용자를 개인적으로 식별하지는 않습니다.
제14조(이용자의 권리)
  • ① 이용자는 언제든지 제13조2항의 규정에 의한 동의를 철회할 수 있습니다. 단, 철회의 의사표시는 병원 또는 병원으로부터 정보를 제공 받은 자에게 전자우편이 도달된 때부터 유효합니다.
  • ② 이용자는 병원에게 자신의 개인정보에 대한 열람을 요구할 수 있으며, 자신의 개인정보에 오류가 있는 경우에는 그 정정을 요구할 수 있습니다.
  • ③ 제1항 및 제2항에 의한 철회, 열람, 정정의 요구는 병원에 전자우편을 보내는 방식으로 하여야 하며, 병원은 전자우편이 도달된 후 지체없이 필요한 조치를 취할 의무를 집니다. 이용자가 오류의 정정을 요구한 경우에는 병원이 그 오류를 정정할 따까지 당해 개인정보를 이용하지 않습니다
제5장 의무 및 책임
제15조(병원의 의무)
  • ① 병원은 관련법과 본 약관에 금지하거나 미풍양속에 반하는 행위를 하지 않으며, 본 약관이 정하는 발에 따라 지속적이고, 안정적으로 서비스를 제공하는데 최선을 다합니다.
  • ② 병원은 이용자의 신용정보를 포함한 개인신상 정보의 보안에 대하여 기술적 안전 조치를 강구하고 관리에 만전을 기함으로써 이용자의 정보보안에 최선을 다합니다.
  • ③ 병원은 서비스의 제공과 관련하여 알게 된 회원의 개인정보를 본인의 승낙없이 제3차에게 누설, 배포하지 않고, 이를 보호하기 위해 노력합니다. 회원의 개인정보보호 및 사용에 대해서는 관련법 및 개인정보취급방침에 따릅니다.
  • ④ 병원은 공정하고 건전한 운영과 지속적인 연구·개발을 통하여 양질의 서비스를 제공함으로써 고객 만족을 극대화 하여 인터넷 비즈니스 발전에 기여하도록 합니다.
  • ⑤ 병원은 이용자가 원하지 않는 영리목적의 광고성 전자우편을 발송하지 않습니다.
제16조(이용자의 의무)
  • ① 이용자는 다음의 행위를 하여서는 안됩니다.
    • 1. 신청 또는 변경 시 허위내용의 등록
    • 2. 타인의 정보도용
    • 3. 병원에 게시된 정보의 변경
    • 4. 병원이 정한 정보 이외의 정보(컴퓨터 프로그림 등)등의 송신 또는 게시
    • 5. 병원과 기타 제3자의 저작권 등 지적재산권에 대한 침해
    • 6. 병원과 기타 제3자의 명예를 손상시키거나 업무를 방해하는 행위
    • 7. 외설 또는 폭력적인 메시지?화상?음성 기타 미풍양속에 반하는 정보를 병원에 공개 또는 게시하는 행위
    • 8. 다른 이용자에 대한 건강진료 및 상담을 하거나 알선하는 행위
    • 9. 제3자의 진료행위를 선전하는 행위
    • 10. 상품을 판매하거나 판매를 알선하는 행위
    • 11. 병원의 동의 없이 영리를 목적으로 서비스를 사용하는 행위
    • 12. 기타 불법적이거나 부당한 행위
  • ② 전항 각 호의 정보 또는 기타 병원이 사이트 운영상 부적절하다고 판단한 정보가 홈페이지에 게시되거나, 사이트와 링크된 곳에 게시된 경우, 병원은 이용자 또는 기타 정보의 게시를 행한 자의 승낙 없이 홈페이지에 게재된 당해 정보를 삭제하거나 링크를 단절할 수 있습니다. 단, 병원은 이러한 정보의 삭제·링크의 절단 등을 할 의무를 지지 않습니다.
제17조(양도금지)

회원 서비스의 이용권한, 기타 이용 계약상 지위를 타인에게 양도, 증여할 수 없으며 게시물에 대한 저작권을 포함한 모든 권리 및 책임은 이를 게시한 회원에게 있습니다.

제6장 기 타
제18조 (저작권의 귀속 및 이용 제한)
  • ① 병원은 작성한 저작물에 대한 저작권 기타 지적재산권은 병원에 귀속합니다.
  • ② 이용자는 홈페이지를 이용함으로써 얻은 정보를 병원의 사전 승낙없이 복제, 송신, 출판, 배포, 방송 기타 방법에 의하여 영리목적으로 이용하거나 제3자에게 이용하게 하여서는 안됩니다.
제19조 (분쟁 해결)
  • ① 본 이용약관에 규정된 것을 제외하고 발생하는 서비스 이용에 관한 제반 문제에 관한 분쟁은 최대한 쌍방합의로 해결하도록 합니다.
  • ② 이용자가 홈페이지 이용과 관련하여 불만이 있거나 의견을 제시하고자 하는 경우에는 전자우편으로 홈페이지에 대한 불만사항 또는 의견을 제출하면 됩니다.
  • ③ 병원은 이용자로부터 제출되는 불만사항 및 의견이 정당하다고 판단하는 경우, 우선으로 그 사항을 처리합니다. 다만, 신속한 처리가 곤란한 경우에는 이용자에게 그 사유와 처리일정을 즉시 통보해 드립니다.
제20조 (재판권 및 준거법)
  • ① 병원과 이용자 간에 서비스 이용으로 발생한 분쟁에 관한 소송은 민사소송법상의 관할법원으로 합니다.
  • ② 병원과 이용자 간에 제기된 전자거래 소송에는 한국법을 적용합니다.

환자의 권리와 의무

환자의 권리와 의무

바로본병원은 환자, 보호자의 요구와 권리에 대한 존중을 기반으로 하여 병원 정책을 운영한다.
[환자의 권리와 의무]은 병원을 이용하는 환자, 보호자의 권리와 의무을 구체적으로 명시함으로써, 권리를 증진시키고 최선의 의료 서비스를 제공하는데 목적이 있다.

환자의 권리
01. 진료받을 권리

환자는 자신의 건강보호와 증진을 위하여 보건의료서비스를 받을 권리를 갖고, 성별·나이·종교·신분·국적·언어·인종 및 신체적, 정신적, 경제적 사정 등을 이유로 차별 받거나 건강에 관한 권리를 침해 받지 아니하며, 의료진은 정당한 사유 없이 진료를 거부할 수 없습니다.

02. 알 권리 및 자기결정권

환자는 의료진 등으로부터 담당의료진의 전문분야, 질병상태, 치료목적, 치료계획, 치료방법, 치료예상결과 및 부작용, 퇴원계획, 진료비용, 의학적 연구대상 여부, 장기이식 및 기증 여부 등에 관하여 충분한 설명을 듣고 자세히 물어볼 수 있으며 이에 관한 동의 여부를 결정할 권리가 있습니다. 윤리적인 범위 내에서 특정치료 및 계획된 진료가 시작된 이후 이를 중단하거나 거절 할 수 있고 대안적 진료에 대한 설명을 듣고 결정할 수 있습니다.

03. 비밀을 보호받을 권리

환자는 진료와 관련된 신체상, 건강상의 비밀과 사생활의 비밀을 침해 받지 아니하며, 의료진과 의료기관은 환자의 동의를 받거나 범죄 수사 등 법률에서 정한 경우 외에는 개인정보 공개를 포함하여 비밀을 누설, 발표할 수 없습니다.

04. 상담 및 조정을 신청할 권리

환자는 의료서비스 관련 분쟁이 발생한 경우, 내부기관 또는 외부기관(한국소비자원, 한국의료분쟁조정중재원 등)에 상담 및 조정을 신청할 수 있습니다.

05. 가치관이나 신념을 존중 받을 권리

환자는 문화적, 종교적 가치관이나 신념 등의 이유로 차별 받거나 권리를 침해 받지 않습니다.

06. 신체적 보호와 안정을 취할 권리

환자는 병원에서 발생할 수 있는 위험으로부터 보호받고 심신의 안정을 취한 권리가 있습니다.

환자의 의무
01. 의료진에 대한 신뢰 및 존중의 의무

환자는 자신의 건강 관련 정보를 의료진에게 정확히 알리고, 의료진의 치료 계획을 신뢰하고 존중하여야 합니다.

02. 부정한 방법으로 진료를 받지 않을 의무

환자는 진료 전에 본인의 신분을 밝혀야 하고, 다른 사람의 명의로 진료를 받는 등 거짓이나 부정한 방법으로 진료를 받지 않습니다.

03. 병원 내 관련 규정 준수 의무

환자는 병원 내 관련 규정을 준수하고 직원과 다른 환자를 존중하여야 하며, 병원과 체결된 재정적 의무를 성실히 이행하여야 합니다.

개인정보취급방침

01.처리하는 개인정보 항목 및 수집방법

회원가입 시 입력해야 하는 필수항목과 선택항목이 있으며, 선택항목은 입력하지 않으시더라도, 서비스 이용에는 제한이 없습니다.

[홈페이지 개인정보 수집항목]
  • 일반 회원가입 시 수집항목
    • 필수 항목: 로그인 아이디, 비밀번호, 이름, 생년월일, 핸드폰번호, 이메일주소
    • 선택 항목: 주소, 유선전화번호
      * 그 외 특정 목적(게시물등록 및 관리)을(를) 위해 단기적(비회원대상)으로 개인정보를 수집할 경우에는 별도로 공지하고 수집합니다.
  • 게시판(상담) 사용시 수집항목
    • 필수 항목: 이름, 비밀번호, 이메일, 연락처
    • 서비스 이용 과정이나 서비스 제공 업무 처리 과정에서 다음 정보들이 자동으로 생성되어 수집될 수 있습니다.
      : 서비스 이용기록, 접속 로그, 쿠키, 접속 IP 정보
[개인정보 수집방법]

다음과 같은 방법으로 개인정보를 수집합니다.
홈페이지 회원가입, 홈페이지 게시판(일반, 상담, 기타)

02. 개인정보의 수집 및 이용목적

병원은 수집한 개인정보를 다음의 목적을 위해 활용합니다.이용자가 제공한 모든 정보는 하기 목적에 필요한 용도 이외로는 사용되지 않으며 이용 목적이 변경될 시에는 사전 동의를 구할 것입니다.

  • - 서비스 이용에 따른 회원가입 및 본인 식별에 이용
  • - 게시판 내 게시글 등록 및 확인(수정, 삭제)
  • - 소식 및 고지사항 전달
  • - 불만처리 등을 위한 원활한 의사소통 경로의 확보
03. 개인정보의 처리 및 보유기간

원칙적으로, 개인정보 수집 및 이용목적이 달성된 후에는 해당 정보를 지체없이 파기합니다.단, 관계법령의 규정에 의하여 보존할 필요가 있는 경우 아래와 같이 관계법령에서 정한 일정한 기간 동안 회원정보를 보관합니다
진료목적으로 수집한 개인정보 : 의료법 기준에 준함

  • - 소비자의 불만 또는 분쟁처리에 관한 기록 : 3년(전자상거래 등에서의 소비자보호에 관한 법률)
  • - 신용정보의 수집/처리 및 이용 등에 관한 기록 : 3년(신용정보의 이용 및 보호에 관한 법률)
  • - 본인 확인에 관한 기록 : 6개월(정보통신망 이용촉진 및 정보보호 등에 관한 법률)
  • - 방문에 관한 기록 : 3개월(통신비밀보호법)
04. 개인정보처리의 위탁

병원은 원할한 개인정보 업무처리를 위해 다음과 같이 개인정보 처리업무를 위탁하고 있습니다.

병원은 위탁계약 체결 시 개인정보가 안전하게 관리될 수 있도록 위탁업무 수행목적 외 개인정보 처리금지, 기술적ㆍ관리적 보호조치, 재위탁 제한, 수탁자에 대한 관리ㆍ감독, 손해배상 등 책임에 관한 사항을 계약서 등 문서에 명시하고, 수탁자가 개인정보를 안전하게 처리하는지를 감독하고 있습니다. 위탁업무의 내용이나 수탁자가 변경될 경우에는 지체 없이 본 개인정보 처리방침을 통하여 공개하도록 하겠습니다.

[개인정보 목적 외 이용 및 제3자 제공 현황]
← 좌우 스크롤로 내용확인 →
시작일시 종료일시 제공업체 목적외 이용 및 제공 목적 개인정보
2014. 05. 13 위탁종료 시 (주)엠써클 진료안내 문자발송 이름, 주민번호, 연락처, 주소, 진료과, 처방내용, 내원일자
2013. 05. 30 위탁종료 시 재단법인 씨젠의료재단 EMR 시스템(유지보수) 환자정보
2013. 05. 31 위탁종료 시 (주)메디칼스탠다드 PACS 시스템(유지보수) 환자정보
2013. 11. 29 위탁종료 시 (재)서울의과학연구소 검체의뢰 이름, 챠트번호, 주민번호
2013. 04. 16 위탁종료 시 디맥스 홈페이지 유지보수 이름, 연락처, 주소, 이메일
05. 동의를 거부할 권리가 있다는 사실 및 동의 거부에 따른 불이익

귀하는 홈페이지에서 개인정보 수집에 대한 동의를 거부할 권리가 있습니다.
그러나 동의를 거부할 경우 회원가입이 진행되지 않으며, 특정 게시판(또는 특정 페이지)에 접근 제한이 있습니다.

06. 영상정보처리기기 설치·운영

영상정보처리기기 설치·운영 자체점검 결과 다운로드

07. 개인정보의 파기

병원은 수집된 개인정보를 제2조의 "개인정보의 처리 및 보유기간"동안 보유합니다. 본원은 보유기간의 경과, 처리목적 달성 등 그 개인정보가 불필요하게 되었을 때에는 지체없이 파기하고, 개인정보가 제3자에게 제공된 경우에는 제3자에게 파기하도록 지시합니다.

개인정보 파기의 절차 및 방법은 다음과 같습니다.

  • 파기절차
    • 병원은 파기 사유가 발생한 개인정보를 선정하고, 병원의 개인정보 보호책임자의 승인을 받아 개인정보를 파기합니다.
  • 파기방법
    • 병원은 전자적 파일 형태로 기록·저장된 개인정보는 기록을 재생할 수 없도록 복원이 불가능한 방법을 이용한 영구삭제 등으로 파기하며, 기타 서면 등 기록·저장된 개인정보는 분쇄기로 분쇄하거나 소각하여 파기합니다.
08. 개인정보의 안전성 확보조치

병원은 개인정보의 안전성확보를 위해 다음과 같은 조치를 취하고 있습니다.

  • 관리적 조치
    • 내부관리계획 수립·시행, 정기적 직원교육, 개인정보보호 현황 점검 등
  • 기술적 조치
    • 개인정보처리시스템 등의 접근권한 관리, 접근통제시스템 설치, 고유식별정보 등의 암호화, 보안프로그램 설치
  • 물리적 조치
    • 전산실, 자료보관실 등의 접근 통제
09. 정책 변경에 따른 공지의무

이 개인정보처리방침은 2011년 9월 30일에 제정되었으며 법령ㆍ정책 또는 보안기술의 변경에 따라 내용의 추가ㆍ삭제 및 수정이 있을 시에는 변경되는 개인정보처리방침을 시행하기 최소 7일전에 본원 원무과를 통해 변경이유 및 내용 등을 병원게시판에 공지하도록 하겠습니다.

  • - 공고일자 : 2015년 12월 1일
  • - 시행일자 : 2015년 12월 1일
  • - 개인정보취급방침 변경일자 : 2015년 12월 1일

개인정보침해유출 사고처리절차

개인정보 보호책임자 지정/운영

바로본병원은 개인 정보의 적법성 및 절차의 적정성을 확보하여 이용자의 권익 보호 및 업무의 적정한 수행을 도모하기 위해 개인정보 보호책임자를 다음과 같이 지정·운영되고 있습니다.

[바로본병원 개인정보보호책임관]
  • - 성 명 : 윤기철
  • - E-mail : kiceoli@naver.com
  • - 전화번호 : 1644-8575

바로본병원은 법령의 규정 등에 의하여 수집한 개인 정보가 수집 및 처리 목적에 맞게 이용될 수 있도록 항시 지도·감독하겠습니다.

개인정보 유출·침해사고 대응 절차

개인정보 유출ㆍ침해사고 발생을 최소화하기 위하여 「개인정보보호법」에 관한 규정을 준수하여 인적, 물리적 기술적 보안을 강화하겠으며, 개인정보침해사고에 대한 대응절차를 다음과 같이 마련하였습니다.

[사전예방활동]
  • - 개인정보시스템의 접근통제 강화
  • - 개인정보화일의 중요 필드 암호화
  • - 개인정보의 처리단계별 기술적 보호조치
  • - 홈페이지 노출방지 가이드라인에 따른 취약점 점검 및 조치
권익침해 구제방법(개인정보보호법의 경우)

개인정보주체는 개인정보침해로 인한 구제를 받기 위하여 개인정보분쟁조정위원회, 한국인터넷진흥원, 개인정보 침해신고센터 등에 분쟁해결이나 상담 등을 신청할 수 있으며, 개인정보침해의 신고 및 상담에 대해서는 아래기관으로 문의하시기 바랍니다.

  • - 개인분쟁조정위원회 : 118번(ARS 내선 3번)
  • - 대검찰청 첨단범죄수사과 : 02) 3480-2000
  • - 경찰청 사이버테러대응센터 : 02) 392-0330

연간 기부금 모금액 및 활용실적 공개

← 좌우 스크롤로 내용확인 →
귀속연도 모금액 활용실적
2019년도 귀속(2019.1.1 ~ 12.31) 기부금 없음 없음
2020년도 귀속(2020.1.1 ~ 12.31) 기부금 없음 없음
2021년도 귀속(2021.1.1 ~ 12.31) 기부금 없음 없음
2022년도 귀속(2022.1.1 ~ 12.31) 기부금 없음 없음
2023년도 귀속(2023.1.1 ~ 12.31) 기부금 없음 없음
2024년도 귀속(2024.1.1 ~ 12.31) 기부금 없음 없음

공익법인 결산

← 좌우 스크롤로 내용확인 →
귀속연도 내용확인
2021년도 귀속(2021. 1. 1 ~ 12. 31) 내용확인
2022년도 귀속(2022. 1. 1 ~ 12. 31) 내용확인
2023년도 귀속(2023. 1. 1 ~ 12. 31) 내용확인
2024년도 귀속(2024. 1. 1 ~ 12. 31) 내용확인

협력업체 제휴기관

바로본병원 직통전화안내

대표전화 1644-8575

응급실 24시간 진료