전체메뉴열기

견관절센터

회전근개파열

회전근개라고 하는 어깨 힘줄이 퇴행성 변화, 외상 과사용 등에 의해 파열된 상태

scroll down

회전근개파열이란?

  • 어깨에는 어깨 뼈를 덮고 있는 네 개의 근육이 합해져서 하나처럼 된 회전근개라는 힘줄이 있습니다. 회전근개가 혈액순환의 장애나 외부의 압박 등으로 손상을 입음으로써 나타나는 질환을 총칭하여 회전근개 질환이라고 합니다. 젊은 층에서 어깨관절에 통증이 있다면 회전근개파열을 의심해 보아야 합니다.
    어깨근육파열의 경우 심한 운동 후에 증상이 나타나는 경우가 많은데, 통증과 함께 어깨를 움직이기 힘들게 됩니다.

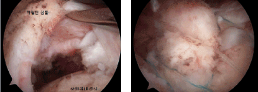
  • 회전근개파열 이미지
진단에사용되는 초음파와 MRI사진 회전근개파열 이미지
회전근힘줄의 파열 (좌 : 파열 / 우 : 봉합후) 회전근개파열 이미지
상단으로

이용약관

제1장 총칙
제1조 (목적)

이 서비스 약관은 회원이 바로본병원(이하 “병원”)에서 제공하는 인터넷 관련 서비스(이하 “서비스”) 를 이용하면서 회원과 병원 간의 권리, 의무 및 책임사항, 하나의 아이디 및 비밀번호로 통합하여 이용하는 데 따른 이용조건 및 절차 등의 기본적인 사항을 규정함을 목적으로 합니다.

제2조(약관의 효력 및 변경)

약관의 내용은 서비스 화면에 게시하고 이용자가 동의함으로써 효력이 발생합니다. 병원은 합리적인 사유가 발생할 경우에는 이 약관을 변경할 수 있으며, 약관이 변경되는 경우에는 최소한 7일 전에 공지합니다. 또한, 새로운 서비스가 개설될 경우 별도의 명시된 설명이 없는 한 이 약관에 따라 제공됩니다.

  • ① 본 약관은 병원이 서비스 화면을 통해 게시하고 이용자가 이에 동의함으로써 효력이 발생합니다.
  • ② 병원은 "약관의 규제 등에 관한 법률", "정보통신망 이용촉진 및 정보보호 등에 관한 법률", "개인정보보호법" 등 관련 법령을 위반하지 않는 범위에서 이 약관의 내용을 수정하거나 변경할 수 있습니다.
  • ③ 병원이 약관을 개정할 경우에는 적용 일자 및 개정사유를 명시하여 현행약관과 함께 서비스화면에 그 적용 일자 7일 이전부터 적용 일자 전날까지 서비스 홈페이지에 알립니다.
  • ④ 병원이 전항에 따라 알리면서 고지일로부터 개정약관 시행일 7일 후까지 거부 의사를 표시하지 아니하면 승인한 것으로 본다는 뜻을 명확하게 알렸음에도 의사표시가 없는 경우에는 변경된 약관을 승인한 것으로 봅니다. 회원이 개정약관에 동의하지 않을 경우 회원은 제7조 제1항의 규정에 따라 이용계약을 해지할 수 있습니다.
제3조(약관 외 준칙)

이 약관에 명시되지 않은 사항에 대해서는 전기통신기본법, 전기통신사업법 등 관계 법령 및 병원이 정한 서비스의 세부이용지침 등의 규정에 의합니다.

제4조(용어의 정의)

이 약관에서 사용하는 용어의 정의는 다음과 같습니다.

  • ① 이용자 : 병원이 제공하는 서비스를 받는 회원과 비회원
  • ② 회원 : 병원과 서비스 이용계약을 체결하고 이용자 아이디(ID)를 부여받은 자
  • ③ 비회원 : 회원에 가입하지 않고 병원이 제공하는 서비스를 이용하는 자
  • ④ 아이디(ID) : 회원식별과 회원의 서비스 이용을 위하여 회원이 설정하고 병원이 승인하는 문자 또는 숫자의 조합
  • ⑤ 비밀번호 : 회원의 정보 보호를 위해 회원 자신이 설정한 문자 또는 숫자의 조합
    개인정보 보호를 위해 비밀번호는 복호화가 불가능 한 형태로 암호화되어 저장되며, 개인 인증 및 의료서비스 연동 등의 불가피한 사항을 제외하고 절대 사용되지 않음.
  • ⑥ 연결 사이트 : 홈페이지와 하이퍼링크 방식(하이퍼링크의 대상에는 문자, 정지 및 동화상 등이 포함됨)등으로 연결된 웹 사이트를 말한다.
  • ⑦ 운영자 : 서비스의 전반적인 관리와 원활한 운영을 위하여 병원에서 선정한 사람.
  • ⑧ 개인정보 : 당해 정보에 포함된 성명, 생년월일 등의 사항에 의하여 특정 개인을 식별할 수 있는 정보(당해 정보만으로는 특정 개인을 인식할 수 없더라도 다른 정보와 쉽게 결합하여 식별할 수 있는 것을 포함한다)
  • ⑨ 해지 : 이용자가 서비스 개통 후 이용계약을 해약하는 것
제2장 회원의 가입 및 탈퇴
제5조 (회원 가입)
  • ① 이용자는 병원의 정한 양식에 따라 회원정보를 기재한 후 본 약관에 동의한다는 의사표시를 함으로써 회원 가입을 신청합니다.
  • ② 병원은 전항과 같이 회원으로 가입할 것을 신청한 이용자 중 이하 각 호에 해당하지 않는 한 회원으로 등록합니다.
    • 1. 본인의 실명으로 신청하지 않는 경우
    • 2. 다른 사람의 명의를 사용하여 신청하는 경우
    • 3. 가입 신청자가 본 약관 제7조 제2항에 따라 이전에 회원 자격을 잃은 적이 있는 경우
    • 4. 등록내용에 허위, 기재누락, 오기가 있는 경우
    • 5. 기타 회원으로 등록하는 것이 병원의 기술상 또는 업무 수행상 현저히 지장이 있다고 판단하는 경우
  • ③ 회원 가입계약의 성립시기는 병원이 승낙한 시점으로 합니다.
  • ④ 만 14세 미만의 아동이 회원 가입하여 병원 서비스를 정상적으로 이용하기 위해서는 병원에서 정한 양식에 따라 법정대리인의 사전동의가 필요하며, 법정대리인의 동의 이전에는 아동의 개인정보를 수집하지 않습니다.
제6조(회원 정보의 변경)
  • ① 회원은 개인정보관리화면을 통하여 언제든지 본인의 개인정보를 열람하고 수정할 수 있습니다.
  • ② 회원은 이용 신청 시 기재한 회원정보가 변경되었을 경우 자신이 직접 온라인으로 수정해야 하며, 변경하지 않은 정보에 인해 발생하는 문제의 책임은 회원에게 있습니다.
제7조(회원 탈퇴 및 자격상실 등)
  • ① 회원은 탈퇴를 희망할 경우 탈퇴를 요청할 수 있으며, 병원은 즉시 이를 처리합니다. 단, 탈퇴의 요청은 전자메일로 하여야 하며 개인정보를 위해 개인 확인 절차를 거친 후 탈퇴하게 됩니다. 탈퇴 후 관련법 및 개인정보취급방침에 따라 회원정보를 삭제합니다.
  • ② 회원이 다음 각 호의 사유에 해당하면, 병원은 회원자격을 상실시킬 수 있습니다.
    • 1. 가입 신청 시에 허위 내용을 등록한 경우
    • 2. 다른 사람의 서비스 이용을 방해하거나 타인의 명예를 훼손하거나 그 정보를 도용하는 등 전자 거래 및 정보통신서비스 이용질서를 위협하는 경우
    • 3. 검증되지 않은 허위정보 및 기타 허락되지 않은 물품의 판매를 하는 경우
    • 4. 허락되지 않은 진료행위 또는 진료행위를 위한 선전의 장소로 이용하는 경우
    • 5. 제공되는 정보를 변경하는 등 병원의 운영을 방해한 경우
    • 6. 법령과 본 약관이 금지하거나 미풍양속에 저해하는 행위를 하는 경우
    • 7. 기타 회원의 자격을 지속시키는 것이 부적절하다고 판단되는 경우
제3장 서비스이용
제8조 (서비스의 내용)
  • ① 병원은 다음의 서비스를 제공합니다.
    • 1. 병원에서 제공하는 일반 안내 서비스
    • 2. 병원 또는 연결사이트를 통해 제공되는 각종 예약 서비스
    • 3. 병원에서 제공하는 각종 증명서 발급 서비스
    • 4. 병원에서 제공하는 건강정보 서비스
    • 5. 기타 병원이 정하는 서비스
제9조(서비스 이용개시)
  • ① 병원은 회윈의 이용신청을 승낙한 때부터 서비스를 개시합니다. 단, 일부 서비스의 경우에는 지정된 일자부터 서비스를 개시합니다.
  • ② 병원의 업무상 또는 기술상의 장애로 인하여 서비스를 개시하지 못하는 경우에는 사이트에 공시하거나 회원에게 이를 통지합니다.
제10조(서비스의 변경 및 중지)
  • ① 병원은 변경될 서비스의 내용 및 제공일자를 제12조에서 정한 방법으로 회원에게 통지하고 서비스를 변경하여 제공할 수 있습니다.
  • ② 병원은 다음 각 호에 해당하면 서비스의 전부 또는 일부를 제한하거나 중지할 수 있습니다.
    • 1. 서비스용 설비의 보수 등 공사로 인한 부득이한 경우
    • 2. 회원이 병원의 영업활동을 방해하는 경우
    • 3. 정정, 제반 설비의 장애 또는 이용량의 폭주 등으로 정상적인 서비스 이용에 지장이 있는 경우
    • 4. 서비스 제공업자와의 계약 종료 등과 같은 병원의 제반 사정으로 서비스를 유지할 수 없는 경우
    • 5. 기타 천재지변, 국가비상사태 등 불가항력적 사유가 있는 경우
  • ③ 제2항에 의한 서비스 중단의 경우에는 병원이 제12조에서 정한 방법으로 이용자에게 통지합니다. 다만, 병원이 통제할 수 없는 사유로 인한 서비스의 중단(운영자의 고의, 과실이 없는 디스크장애, 시스템 다운 등)으로 인하여 사전 통지가 불가능한 경우에는 그러하지 아니합니다.
  • ④ 병원은 서비스의 변경, 중지에 발생하는 문제에 대해서는 어떠한 책임도지지 않습니다.
제11조(서비스에 관한 책임과 제한)
  • ① 건강관련 정보 제공 서비스
    • 1. 병원에서 제공하는 건강관련 정보는 개략적이며 일반적인 것으로서 특정인의 의견에 지나지 않으며 어떠한 경우에도 전문적인 의학적 진단, 진료, 치료를 대신할 수 없습니다.
    • 2. 병원은 건강관련 정보제공 서비스에서 언급된 어떠한 특정한 검사나 제품 또는 치료법을 보증하지 않습니다.
    • 3. 병원은 제공하는 건강관련 정보는 전적으로 이용자의 판단에 따라 이용되는 것으로서, 병원은 건강관련 정보의 제공과 관련하여 어떠한 책임도지지 않습니다.
  • ② 진료 예약 및 이력 조회 서비스
    • 1. 개인정보보호를 위해 서비스를 제공을 위한 본인식별이 반드시 필요합니다. 따라서 본인인증 절차에 따라 본인확인 후 서비스를 제공합니다.
    • 2. 병원은 (주)나이스평가정보를 통한 본인인증(아이핀과 휴대폰인증)서비스를 제공하고 있습니다.
    • 3. 휴대폰인증을 받을 경우에는 인증에 사용된 전화번호를 통신사에서 받아 자동입력을 받으며, 회원 가입 신청서 작성 시 또는 회원정보 변경에서 전화번호는 직접 변경하실 수 있습니다.
  • 병원과 연결 사이트간의 관계

    병원은 연결사이트가 독자적으로 제공하는 재화, 용역, 서비스에 의하여 이용자와 행하는 거래에 대해서 어떠한 보증책임을 지지 않습니다.

제12조(회원에 대한 통지)
  • ① 병원은 서비스를 운영함에 있어 병원의 서비스이용과 관련한 처리 결과 및 안내에 대한 통지를 할 수 있으며, 회원이 병원에 제공한 전자우편(이메일) 또는 SMS전송으로 할 수 있습니다. 단, 회원의 동의에 따라 제한 될 수 있습니다.
  • ② 병원은 불특정다수 회원에 대한 통지의 경우 게시판에 게시함으로써 개별통지에 갈음할 수 있습니다.
제4장 개인정보의 보호
제13조(개인정보의 수집 및 이용)
  • ① 병원은 본 서비스의 원활한 운영을 위해 필요한 이용자의 최소한의 정보를 수집합니다.
  • ② 이용자의 개인정보를 수집하는 때에는 이하 각호의 경우를 제외하고는 당해 이용자의 동의를 받습니다.
    • 1. 법률에 특별한 규정이 있는 경우
    • 2. 서비스이용계약의 이행을 위해서 필요한 경우
    • 3. 서비스의 제공에 따른 요금정산을 위하여 필요한 경우
  • ③ 병원은 개인정보의 보호를 위하여 관리자를 한정하여 그 수를 최소화하며 개인정보의 분실, 도난, 유출, 변조되지 아니하도록 안정성 확보에 필요한 기술적 조치 등을 강구합니다.
  • ④ 제공된 개인정보는 당해 이용자의 동의 없이 목적 외 이용이나 제3자에게 제공할 수 없습니다. 단, 다음의 경우에는 예외로 합니다.
    • 1. 법률에 특별한 규정이 있는 경우
    • 2. 사용자 인증 절차
    • 3. 서비스의 제공에 따른 요금정산 및 배송등을 위하여 필요한 경우
    • 4. 병원 홈페이지의 원활한 운영 및 통계분석자료로 활용
    • 5. 통계작성?학술연구 또는 시장조사를 위하여 필요한 경우로서 특정 개인을 식별할 수 없는 형태로 제공하는 경우
  • ⑤ 병원은 개인정보의 수집목적을 달성한 때에는 당해 개인정보를 바로 파기합니다.
  • ⑥ 쿠키(cookie)의 운영에 관한 사항
    • 1. 이용자들에게 특화된 맞춤서비스를 제공하기 위해서 병원은 이용자들의 정보를 저장하 고 수시로 불러오는 '쿠키(cookie)'를 사용합니다.
    • 2. 쿠키는 웹사이트를 운영하는 데 이용되는 서버(HTTP)가 이용자의 컴퓨터 브라우저에게 보내는 소량의 정보이며 이용자들의 PC 컴퓨터 내의 하드디스크에 저장되기도 합니다.
    • 3. 쿠키를 이용하여 이용자들이 방문한 병원의 각 서비스에 대한 방문 및 이용형태, 이용 자 규모 등을 파악하여 더욱더 편리한 서비스를 만들어 제공할 수 있습니다. 이용자들은 쿠키에 대하여 사용여부를 선택할 수 있습니다.
    • 4. 웹 브라우저 상단의 "도구>인터넷 옵션" 기능에서 모든 쿠키를 다 받아들이거나, 쿠키가 설치될 때 통지를 보내도록 하거나, 아니면 모든 쿠키를 거부할 수 있는 선택권을 가질 수 있습니다. 다만, 쿠키의 저장을 거부할 경우에는 로그인이 필요한 서비스는 이용할 수 없습니다.
    • 5. 이용자가 서비스페이지에 접속한 후 로그인(LOG-IN)하여 회원제 서비스를 이용하기 위 해서는 쿠키를 허용하셔야 합니다. 병원 홈페이지는 이용자들에게 적합하고 보다 유용한 서비스를 제공하기 위해서 쿠키를 이용하여 아이디에 대한 정보를 찾아냅니다. 쿠키는 이 용자의 컴퓨터는 구별하지만 이용자를 개인적으로 식별하지는 않습니다.
제14조(이용자의 권리)
  • ① 이용자는 언제든지 제13조2항의 규정에 의한 동의를 철회할 수 있습니다. 단, 철회의 의사표시는 병원 또는 병원으로부터 정보를 제공 받은 자에게 전자우편이 도달된 때부터 유효합니다.
  • ② 이용자는 병원에게 자신의 개인정보에 대한 열람을 요구할 수 있으며, 자신의 개인정보에 오류가 있는 경우에는 그 정정을 요구할 수 있습니다.
  • ③ 제1항 및 제2항에 의한 철회, 열람, 정정의 요구는 병원에 전자우편을 보내는 방식으로 하여야 하며, 병원은 전자우편이 도달된 후 지체없이 필요한 조치를 취할 의무를 집니다. 이용자가 오류의 정정을 요구한 경우에는 병원이 그 오류를 정정할 따까지 당해 개인정보를 이용하지 않습니다
제5장 의무 및 책임
제15조(병원의 의무)
  • ① 병원은 관련법과 본 약관에 금지하거나 미풍양속에 반하는 행위를 하지 않으며, 본 약관이 정하는 발에 따라 지속적이고, 안정적으로 서비스를 제공하는데 최선을 다합니다.
  • ② 병원은 이용자의 신용정보를 포함한 개인신상 정보의 보안에 대하여 기술적 안전 조치를 강구하고 관리에 만전을 기함으로써 이용자의 정보보안에 최선을 다합니다.
  • ③ 병원은 서비스의 제공과 관련하여 알게 된 회원의 개인정보를 본인의 승낙없이 제3차에게 누설, 배포하지 않고, 이를 보호하기 위해 노력합니다. 회원의 개인정보보호 및 사용에 대해서는 관련법 및 개인정보취급방침에 따릅니다.
  • ④ 병원은 공정하고 건전한 운영과 지속적인 연구·개발을 통하여 양질의 서비스를 제공함으로써 고객 만족을 극대화 하여 인터넷 비즈니스 발전에 기여하도록 합니다.
  • ⑤ 병원은 이용자가 원하지 않는 영리목적의 광고성 전자우편을 발송하지 않습니다.
제16조(이용자의 의무)
  • ① 이용자는 다음의 행위를 하여서는 안됩니다.
    • 1. 신청 또는 변경 시 허위내용의 등록
    • 2. 타인의 정보도용
    • 3. 병원에 게시된 정보의 변경
    • 4. 병원이 정한 정보 이외의 정보(컴퓨터 프로그림 등)등의 송신 또는 게시
    • 5. 병원과 기타 제3자의 저작권 등 지적재산권에 대한 침해
    • 6. 병원과 기타 제3자의 명예를 손상시키거나 업무를 방해하는 행위
    • 7. 외설 또는 폭력적인 메시지?화상?음성 기타 미풍양속에 반하는 정보를 병원에 공개 또는 게시하는 행위
    • 8. 다른 이용자에 대한 건강진료 및 상담을 하거나 알선하는 행위
    • 9. 제3자의 진료행위를 선전하는 행위
    • 10. 상품을 판매하거나 판매를 알선하는 행위
    • 11. 병원의 동의 없이 영리를 목적으로 서비스를 사용하는 행위
    • 12. 기타 불법적이거나 부당한 행위
  • ② 전항 각 호의 정보 또는 기타 병원이 사이트 운영상 부적절하다고 판단한 정보가 홈페이지에 게시되거나, 사이트와 링크된 곳에 게시된 경우, 병원은 이용자 또는 기타 정보의 게시를 행한 자의 승낙 없이 홈페이지에 게재된 당해 정보를 삭제하거나 링크를 단절할 수 있습니다. 단, 병원은 이러한 정보의 삭제·링크의 절단 등을 할 의무를 지지 않습니다.
제17조(양도금지)

회원 서비스의 이용권한, 기타 이용 계약상 지위를 타인에게 양도, 증여할 수 없으며 게시물에 대한 저작권을 포함한 모든 권리 및 책임은 이를 게시한 회원에게 있습니다.

제6장 기 타
제18조 (저작권의 귀속 및 이용 제한)
  • ① 병원은 작성한 저작물에 대한 저작권 기타 지적재산권은 병원에 귀속합니다.
  • ② 이용자는 홈페이지를 이용함으로써 얻은 정보를 병원의 사전 승낙없이 복제, 송신, 출판, 배포, 방송 기타 방법에 의하여 영리목적으로 이용하거나 제3자에게 이용하게 하여서는 안됩니다.
제19조 (분쟁 해결)
  • ① 본 이용약관에 규정된 것을 제외하고 발생하는 서비스 이용에 관한 제반 문제에 관한 분쟁은 최대한 쌍방합의로 해결하도록 합니다.
  • ② 이용자가 홈페이지 이용과 관련하여 불만이 있거나 의견을 제시하고자 하는 경우에는 전자우편으로 홈페이지에 대한 불만사항 또는 의견을 제출하면 됩니다.
  • ③ 병원은 이용자로부터 제출되는 불만사항 및 의견이 정당하다고 판단하는 경우, 우선으로 그 사항을 처리합니다. 다만, 신속한 처리가 곤란한 경우에는 이용자에게 그 사유와 처리일정을 즉시 통보해 드립니다.
제20조 (재판권 및 준거법)
  • ① 병원과 이용자 간에 서비스 이용으로 발생한 분쟁에 관한 소송은 민사소송법상의 관할법원으로 합니다.
  • ② 병원과 이용자 간에 제기된 전자거래 소송에는 한국법을 적용합니다.

환자의 권리와 의무

환자의 권리와 의무

바로본병원은 환자, 보호자의 요구와 권리에 대한 존중을 기반으로 하여 병원 정책을 운영한다.
[환자의 권리와 의무]은 병원을 이용하는 환자, 보호자의 권리와 의무을 구체적으로 명시함으로써, 권리를 증진시키고 최선의 의료 서비스를 제공하는데 목적이 있다.

환자의 권리
01. 진료받을 권리

환자는 자신의 건강보호와 증진을 위하여 보건의료서비스를 받을 권리를 갖고, 성별·나이·종교·신분·국적·언어·인종 및 신체적, 정신적, 경제적 사정 등을 이유로 차별 받거나 건강에 관한 권리를 침해 받지 아니하며, 의료진은 정당한 사유 없이 진료를 거부할 수 없습니다.

02. 알 권리 및 자기결정권

환자는 의료진 등으로부터 담당의료진의 전문분야, 질병상태, 치료목적, 치료계획, 치료방법, 치료예상결과 및 부작용, 퇴원계획, 진료비용, 의학적 연구대상 여부, 장기이식 및 기증 여부 등에 관하여 충분한 설명을 듣고 자세히 물어볼 수 있으며 이에 관한 동의 여부를 결정할 권리가 있습니다. 윤리적인 범위 내에서 특정치료 및 계획된 진료가 시작된 이후 이를 중단하거나 거절 할 수 있고 대안적 진료에 대한 설명을 듣고 결정할 수 있습니다.

03. 비밀을 보호받을 권리

환자는 진료와 관련된 신체상, 건강상의 비밀과 사생활의 비밀을 침해 받지 아니하며, 의료진과 의료기관은 환자의 동의를 받거나 범죄 수사 등 법률에서 정한 경우 외에는 개인정보 공개를 포함하여 비밀을 누설, 발표할 수 없습니다.

04. 상담 및 조정을 신청할 권리

환자는 의료서비스 관련 분쟁이 발생한 경우, 내부기관 또는 외부기관(한국소비자원, 한국의료분쟁조정중재원 등)에 상담 및 조정을 신청할 수 있습니다.

05. 가치관이나 신념을 존중 받을 권리

환자는 문화적, 종교적 가치관이나 신념 등의 이유로 차별 받거나 권리를 침해 받지 않습니다.

06. 신체적 보호와 안정을 취할 권리

환자는 병원에서 발생할 수 있는 위험으로부터 보호받고 심신의 안정을 취한 권리가 있습니다.

환자의 의무
01. 의료진에 대한 신뢰 및 존중의 의무

환자는 자신의 건강 관련 정보를 의료진에게 정확히 알리고, 의료진의 치료 계획을 신뢰하고 존중하여야 합니다.

02. 부정한 방법으로 진료를 받지 않을 의무

환자는 진료 전에 본인의 신분을 밝혀야 하고, 다른 사람의 명의로 진료를 받는 등 거짓이나 부정한 방법으로 진료를 받지 않습니다.

03. 병원 내 관련 규정 준수 의무

환자는 병원 내 관련 규정을 준수하고 직원과 다른 환자를 존중하여야 하며, 병원과 체결된 재정적 의무를 성실히 이행하여야 합니다.

개인정보취급방침

01.처리하는 개인정보 항목 및 수집방법

회원가입 시 입력해야 하는 필수항목과 선택항목이 있으며, 선택항목은 입력하지 않으시더라도, 서비스 이용에는 제한이 없습니다.

[홈페이지 개인정보 수집항목]
  • 일반 회원가입 시 수집항목
    • 필수 항목: 로그인 아이디, 비밀번호, 이름, 생년월일, 핸드폰번호, 이메일주소
    • 선택 항목: 주소, 유선전화번호
      * 그 외 특정 목적(게시물등록 및 관리)을(를) 위해 단기적(비회원대상)으로 개인정보를 수집할 경우에는 별도로 공지하고 수집합니다.
  • 게시판(상담) 사용시 수집항목
    • 필수 항목: 이름, 비밀번호, 이메일, 연락처
    • 서비스 이용 과정이나 서비스 제공 업무 처리 과정에서 다음 정보들이 자동으로 생성되어 수집될 수 있습니다.
      : 서비스 이용기록, 접속 로그, 쿠키, 접속 IP 정보
[개인정보 수집방법]

다음과 같은 방법으로 개인정보를 수집합니다.
홈페이지 회원가입, 홈페이지 게시판(일반, 상담, 기타)

02. 개인정보의 수집 및 이용목적

병원은 수집한 개인정보를 다음의 목적을 위해 활용합니다.이용자가 제공한 모든 정보는 하기 목적에 필요한 용도 이외로는 사용되지 않으며 이용 목적이 변경될 시에는 사전 동의를 구할 것입니다.

  • - 서비스 이용에 따른 회원가입 및 본인 식별에 이용
  • - 게시판 내 게시글 등록 및 확인(수정, 삭제)
  • - 소식 및 고지사항 전달
  • - 불만처리 등을 위한 원활한 의사소통 경로의 확보
03. 개인정보의 처리 및 보유기간

원칙적으로, 개인정보 수집 및 이용목적이 달성된 후에는 해당 정보를 지체없이 파기합니다.단, 관계법령의 규정에 의하여 보존할 필요가 있는 경우 아래와 같이 관계법령에서 정한 일정한 기간 동안 회원정보를 보관합니다
진료목적으로 수집한 개인정보 : 의료법 기준에 준함

  • - 소비자의 불만 또는 분쟁처리에 관한 기록 : 3년(전자상거래 등에서의 소비자보호에 관한 법률)
  • - 신용정보의 수집/처리 및 이용 등에 관한 기록 : 3년(신용정보의 이용 및 보호에 관한 법률)
  • - 본인 확인에 관한 기록 : 6개월(정보통신망 이용촉진 및 정보보호 등에 관한 법률)
  • - 방문에 관한 기록 : 3개월(통신비밀보호법)
04. 개인정보처리의 위탁

병원은 원할한 개인정보 업무처리를 위해 다음과 같이 개인정보 처리업무를 위탁하고 있습니다.

병원은 위탁계약 체결 시 개인정보가 안전하게 관리될 수 있도록 위탁업무 수행목적 외 개인정보 처리금지, 기술적ㆍ관리적 보호조치, 재위탁 제한, 수탁자에 대한 관리ㆍ감독, 손해배상 등 책임에 관한 사항을 계약서 등 문서에 명시하고, 수탁자가 개인정보를 안전하게 처리하는지를 감독하고 있습니다. 위탁업무의 내용이나 수탁자가 변경될 경우에는 지체 없이 본 개인정보 처리방침을 통하여 공개하도록 하겠습니다.

[개인정보 목적 외 이용 및 제3자 제공 현황]
← 좌우 스크롤로 내용확인 →
시작일시 종료일시 제공업체 목적외 이용 및 제공 목적 개인정보
2014. 05. 13 위탁종료 시 (주)엠써클 진료안내 문자발송 이름, 주민번호, 연락처, 주소, 진료과, 처방내용, 내원일자
2013. 05. 30 위탁종료 시 재단법인 씨젠의료재단 EMR 시스템(유지보수) 환자정보
2013. 05. 31 위탁종료 시 (주)메디칼스탠다드 PACS 시스템(유지보수) 환자정보
2013. 11. 29 위탁종료 시 (재)서울의과학연구소 검체의뢰 이름, 챠트번호, 주민번호
2013. 04. 16 위탁종료 시 디맥스 홈페이지 유지보수 이름, 연락처, 주소, 이메일
05. 동의를 거부할 권리가 있다는 사실 및 동의 거부에 따른 불이익

귀하는 홈페이지에서 개인정보 수집에 대한 동의를 거부할 권리가 있습니다.
그러나 동의를 거부할 경우 회원가입이 진행되지 않으며, 특정 게시판(또는 특정 페이지)에 접근 제한이 있습니다.

06. 영상정보처리기기 설치·운영

영상정보처리기기 설치·운영 자체점검 결과 다운로드

07. 개인정보의 파기

병원은 수집된 개인정보를 제2조의 "개인정보의 처리 및 보유기간"동안 보유합니다. 본원은 보유기간의 경과, 처리목적 달성 등 그 개인정보가 불필요하게 되었을 때에는 지체없이 파기하고, 개인정보가 제3자에게 제공된 경우에는 제3자에게 파기하도록 지시합니다.

개인정보 파기의 절차 및 방법은 다음과 같습니다.

  • 파기절차
    • 병원은 파기 사유가 발생한 개인정보를 선정하고, 병원의 개인정보 보호책임자의 승인을 받아 개인정보를 파기합니다.
  • 파기방법
    • 병원은 전자적 파일 형태로 기록·저장된 개인정보는 기록을 재생할 수 없도록 복원이 불가능한 방법을 이용한 영구삭제 등으로 파기하며, 기타 서면 등 기록·저장된 개인정보는 분쇄기로 분쇄하거나 소각하여 파기합니다.
08. 개인정보의 안전성 확보조치

병원은 개인정보의 안전성확보를 위해 다음과 같은 조치를 취하고 있습니다.

  • 관리적 조치
    • 내부관리계획 수립·시행, 정기적 직원교육, 개인정보보호 현황 점검 등
  • 기술적 조치
    • 개인정보처리시스템 등의 접근권한 관리, 접근통제시스템 설치, 고유식별정보 등의 암호화, 보안프로그램 설치
  • 물리적 조치
    • 전산실, 자료보관실 등의 접근 통제
09. 정책 변경에 따른 공지의무

이 개인정보처리방침은 2011년 9월 30일에 제정되었으며 법령ㆍ정책 또는 보안기술의 변경에 따라 내용의 추가ㆍ삭제 및 수정이 있을 시에는 변경되는 개인정보처리방침을 시행하기 최소 7일전에 본원 원무과를 통해 변경이유 및 내용 등을 병원게시판에 공지하도록 하겠습니다.

  • - 공고일자 : 2015년 12월 1일
  • - 시행일자 : 2015년 12월 1일
  • - 개인정보취급방침 변경일자 : 2015년 12월 1일

개인정보침해유출 사고처리절차

개인정보 보호책임자 지정/운영

바로본병원은 개인 정보의 적법성 및 절차의 적정성을 확보하여 이용자의 권익 보호 및 업무의 적정한 수행을 도모하기 위해 개인정보 보호책임자를 다음과 같이 지정·운영되고 있습니다.

[바로본병원 개인정보보호책임관]
  • - 성 명 : 윤기철
  • - E-mail : kiceoli@naver.com
  • - 전화번호 : 1644-8575

바로본병원은 법령의 규정 등에 의하여 수집한 개인 정보가 수집 및 처리 목적에 맞게 이용될 수 있도록 항시 지도·감독하겠습니다.

개인정보 유출·침해사고 대응 절차

개인정보 유출ㆍ침해사고 발생을 최소화하기 위하여 「개인정보보호법」에 관한 규정을 준수하여 인적, 물리적 기술적 보안을 강화하겠으며, 개인정보침해사고에 대한 대응절차를 다음과 같이 마련하였습니다.

[사전예방활동]
  • - 개인정보시스템의 접근통제 강화
  • - 개인정보화일의 중요 필드 암호화
  • - 개인정보의 처리단계별 기술적 보호조치
  • - 홈페이지 노출방지 가이드라인에 따른 취약점 점검 및 조치
권익침해 구제방법(개인정보보호법의 경우)

개인정보주체는 개인정보침해로 인한 구제를 받기 위하여 개인정보분쟁조정위원회, 한국인터넷진흥원, 개인정보 침해신고센터 등에 분쟁해결이나 상담 등을 신청할 수 있으며, 개인정보침해의 신고 및 상담에 대해서는 아래기관으로 문의하시기 바랍니다.

  • - 개인분쟁조정위원회 : 118번(ARS 내선 3번)
  • - 대검찰청 첨단범죄수사과 : 02) 3480-2000
  • - 경찰청 사이버테러대응센터 : 02) 392-0330

연간 기부금 모금액 및 활용실적 공개

← 좌우 스크롤로 내용확인 →
귀속연도 모금액 활용실적
2019년도 귀속(2019.1.1 ~ 12.31) 기부금 없음 없음
2020년도 귀속(2020.1.1 ~ 12.31) 기부금 없음 없음
2021년도 귀속(2021.1.1 ~ 12.31) 기부금 없음 없음
2022년도 귀속(2022.1.1 ~ 12.31) 기부금 없음 없음
2023년도 귀속(2023.1.1 ~ 12.31) 기부금 없음 없음
2024년도 귀속(2024.1.1 ~ 12.31) 기부금 없음 없음

공익법인 결산

← 좌우 스크롤로 내용확인 →
귀속연도 내용확인
2021년도 귀속(2021. 1. 1 ~ 12. 31) 내용확인
2022년도 귀속(2022. 1. 1 ~ 12. 31) 내용확인
2023년도 귀속(2023. 1. 1 ~ 12. 31) 내용확인
2024년도 귀속(2024. 1. 1 ~ 12. 31) 내용확인

협력업체 제휴기관

바로본병원 직통전화안내

대표전화 1644-8575

응급실 24시간 진료